首页
伤感说说
动漫配图
心情说说
抖音文案
伤感图片
伤感说说:
伤感的句子说说心情
空间说说
心情说说
爱情说说
女生伤感说说
人生感悟
心情不好的说说
说说带图片
关于生活的说说
说说心情短语
qq空间说说带图片
个性说说
励志名言
一句话经典语录
感悟人生的经典句子
短句吧
情感故事
抖音文案
伤感图片:
伤感图片带字
非主流伤感图片
唯美伤感图片
女生伤感图片
唯美意境图片
悲伤的图片
唯美意境伤感图片
只有字的伤感图片
说说图片
伤心的图片
美甲图片
图片大全
情感图片
微信头像男
动态壁纸
动漫配图
伤感图片
首页
>
气胸x线胸片图解胸廓
气胸x线胸片图解胸廓,气胸x线胸片图解x光片
胸部x线片示左侧心尖少量气胸,邻近胸膜粘连.
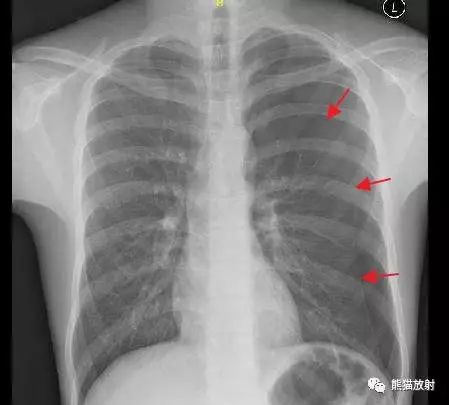
右侧气胸(肺被压缩约70%) ↓:气带宽度略大于患侧胸廓的1/2,右肺明显
胸 片 正常 左侧胸腔积液 右侧气胸
图15 仰卧位胸片显示深沟征,提示气胸
引流2天后无气体引流出,行胸片观察肺复张情况 鉴于患者气胸反复发作
更多推荐
气胸x线胸片图解x光片
气胸x线胸片图解
典型气胸x线胸片图解
正常胸片和气胸胸片
气胸胸片图解
气胸x线胸片
胸腔积液x线胸片图解
气胸x线胸片特征
气胸胸片典型图片
矽肺x线胸片图片
正常胸片与气胸胸对比
液气胸的x线图片
肺结核x线胸片图解x光
胸腔积液胸片典型图片
肺结核x线胸片图解
气胸x片图片及报告
气胸胸片
气胸的x线表现图片
气胸胸片怎么看
气胸胸片典型
肺结核胸片跟正常胸片
肺气肿x线图片
小儿肺炎x线胸片图解
气胸的x线表现
正常胸片和异常胸片
肺结核x线胸片
气胸X线
胸腔积液胸片
支气管肺炎胸片图解
肺结核的胸片图片