首页
伤感说说
动漫配图
心情说说
抖音文案
伤感图片
伤感说说:
伤感的句子说说心情
空间说说
心情说说
爱情说说
女生伤感说说
人生感悟
心情不好的说说
说说带图片
关于生活的说说
说说心情短语
qq空间说说带图片
个性说说
励志名言
一句话经典语录
感悟人生的经典句子
短句吧
情感故事
抖音文案
伤感图片:
伤感图片带字
非主流伤感图片
唯美伤感图片
女生伤感图片
唯美意境图片
悲伤的图片
唯美意境伤感图片
只有字的伤感图片
说说图片
伤心的图片
美甲图片
图片大全
情感图片
微信头像男
动态壁纸
动漫配图
伤感图片
首页
>
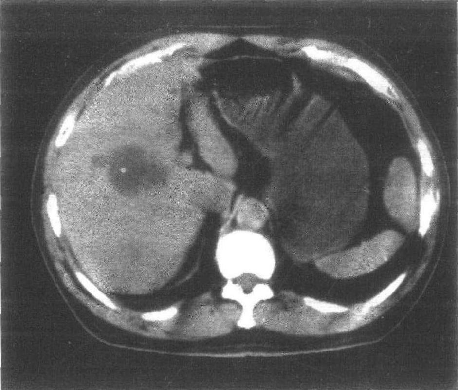
肝囊肿ct图片报告
肝囊肿ct图片报告,肝囊肿ct图片
肝囊肿-腹部ct诊断-医学
肝囊肿微创治疗
问:超声检查结果"肝囊肿,肝内钙化灶,胆囊壁毛糙,左肾
右肺腺癌多发骨转移伴多发肝囊肿及左肺囊肿一例
肝囊肿一例
更多推荐
肝囊肿ct图片
肝囊肿ct图片影像
肝囊肿ct图片怎么看
多发性肝囊肿ct图片
肝脓肿ct图片
肝癌ct片图片图解
肝囊肿图片彩超
肝囊肿图片
肝囊肿真实图片
肝囊肿影像学图片
肝囊肿图片高清
肝癌ct图片
肝癌ct图片早期
肝囊肿ct
正常肺ct片图片图解
ct图片胸片
肺结核ct图片
ct片子图片
肺部ct图片
肺癌ct图片
肝脓肿ct
肺炎ct图片
肺癌检查报告单图片
肝囊肿
肝囊肿真实
肝囊肿严重吗
正常人的肺部ct图片
胰腺ct报告
正常健康肺的ct图片
ct图片