首页
伤感说说
动漫配图
心情说说
抖音文案
伤感图片
伤感说说:
伤感的句子说说心情
空间说说
心情说说
爱情说说
女生伤感说说
人生感悟
心情不好的说说
说说带图片
关于生活的说说
说说心情短语
qq空间说说带图片
个性说说
励志名言
一句话经典语录
感悟人生的经典句子
短句吧
情感故事
抖音文案
伤感图片:
伤感图片带字
非主流伤感图片
唯美伤感图片
女生伤感图片
唯美意境图片
悲伤的图片
唯美意境伤感图片
只有字的伤感图片
说说图片
伤心的图片
美甲图片
图片大全
情感图片
微信头像男
动态壁纸
动漫配图
伤感图片
首页
>
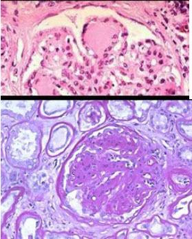
糖尿病肾病病理切片
糖尿病肾病病理切片,糖尿病肾病病理
本文患者肾穿组织肾小球系膜细胞和基质轻度增生,主要
王女士肾脏病理检查报告单
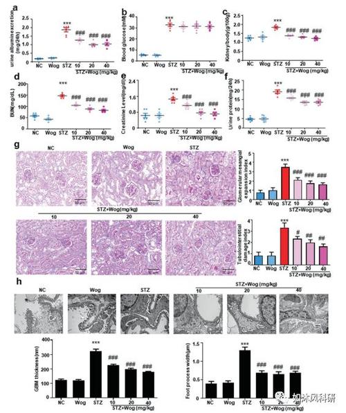
15:汉黄芩素通过靶向bcl-2介导的凋亡和自噬串话减轻糖尿病肾病足细胞
糖尿病性结节性肾小球硬化(kimme1stie1-wi1son病) c . c.
糖尿病肾病的病理观察 .ppt
更多推荐
糖尿病肾病病理
糖尿病肾病患病率
糖尿病肾病发病机制
糖尿病肾病图片
糖尿病肾病
糖尿病肾病患者
糖尿病肾病分期
糖尿病肾病卡通
糖尿病肾病临床表现
糖尿病肾病卡通图片
糖尿病肾病GA分期
病理切片
病理切片标本
病理报告单图片
病理报告图片
病理报告单
病理
病理图片
病理检查报告单
病理诊断报告单
病理报告
肾切片
胃癌病理报告单图片
甲状腺切片
病理诊断
肺癌病理报告
乳腺癌病理报告
病理学
鳞状细胞癌病理手绘图
病理反射