首页
伤感说说
动漫配图
心情说说
抖音文案
伤感图片
伤感说说:
伤感的句子说说心情
空间说说
心情说说
爱情说说
女生伤感说说
人生感悟
心情不好的说说
说说带图片
关于生活的说说
说说心情短语
qq空间说说带图片
个性说说
励志名言
一句话经典语录
感悟人生的经典句子
短句吧
情感故事
抖音文案
伤感图片:
伤感图片带字
非主流伤感图片
唯美伤感图片
女生伤感图片
唯美意境图片
悲伤的图片
唯美意境伤感图片
只有字的伤感图片
说说图片
伤心的图片
美甲图片
图片大全
情感图片
微信头像男
动态壁纸
动漫配图
伤感图片
首页
>
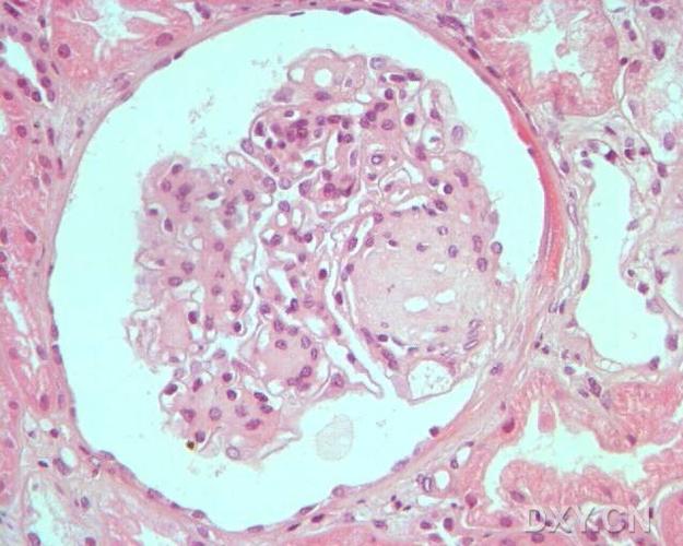
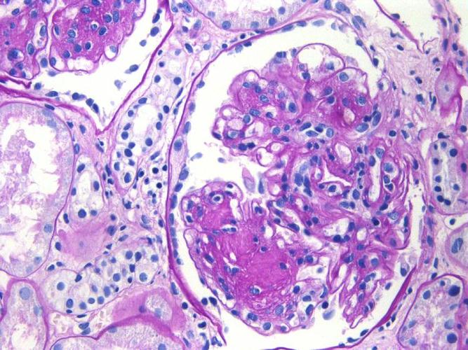
糖尿病肾病病理切片
糖尿病肾病病理切片,糖尿病肾病病理
糖尿病肾病
5糖尿病肾病的病理abc(定)ppt
下列哪各项中为糖尿病肾病高度特异性病理改变的是()
糖尿病肾病特异性的病理改变是( )
【资料】糖尿病肾病
更多推荐
糖尿病肾病病理
糖尿病肾病患病率
糖尿病肾病发病机制
糖尿病肾病图片
糖尿病肾病
糖尿病肾病患者
糖尿病肾病分期
糖尿病肾病卡通
糖尿病肾病临床表现
糖尿病肾病卡通图片
糖尿病肾病GA分期
病理切片
病理切片标本
病理报告单图片
病理报告图片
病理报告单
病理
病理图片
病理检查报告单
病理诊断报告单
病理报告
肾切片
胃癌病理报告单图片
甲状腺切片
病理诊断
肺癌病理报告
乳腺癌病理报告
病理学
鳞状细胞癌病理手绘图
病理反射