首页
伤感说说
动漫配图
心情说说
抖音文案
伤感图片
伤感说说:
伤感的句子说说心情
空间说说
心情说说
爱情说说
女生伤感说说
人生感悟
心情不好的说说
说说带图片
关于生活的说说
说说心情短语
qq空间说说带图片
个性说说
励志名言
一句话经典语录
感悟人生的经典句子
短句吧
情感故事
抖音文案
伤感图片:
伤感图片带字
非主流伤感图片
唯美伤感图片
女生伤感图片
唯美意境图片
悲伤的图片
唯美意境伤感图片
只有字的伤感图片
说说图片
伤心的图片
美甲图片
图片大全
情感图片
微信头像男
动态壁纸
动漫配图
伤感图片
首页
>
彩色多普勒超声心动图
彩色多普勒超声心动图,超声心动图与心脏彩超
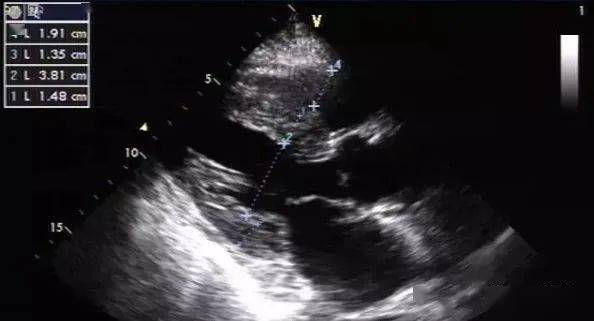
3,多普勒超声心动图可见各瓣膜口血流速度变慢.
频谱多普勒超声心动图
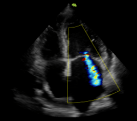
彩色多普勒血流显像显示舒张期二尖瓣口五彩射流束.
网易首页>正文申请入驻> pda的二维及彩色多普勒,频谱多普勒声像图大
td组织多普勒成像,strain 斑点追踪,stress echo 负荷超声心动图,t
更多推荐
超声心动图与心脏彩超
彩色多普勒超声
彩色多普勒超声检查
心脏超声心动图
超声心动图图片
超声心动图多少钱
超声心动图怎么做
超声心动图
彩色多普勒
超声心动图切面
超声心动图解读
超声心动图机
m型超声心动图
超声心动图报告单
成人超声心动图
二维超声心动图
超声心动图标准切面
超声心动图正常值
超声心动图正常参考值
超声心动图检查报告
超声心动图正常值范围
儿童超声心动图
经胸超声心动图
胎儿超声心动图
小儿超声心动图正常值