首页
伤感说说
动漫配图
心情说说
抖音文案
伤感图片
伤感说说:
伤感的句子说说心情
空间说说
心情说说
爱情说说
女生伤感说说
人生感悟
心情不好的说说
说说带图片
关于生活的说说
说说心情短语
qq空间说说带图片
个性说说
励志名言
一句话经典语录
感悟人生的经典句子
短句吧
情感故事
抖音文案
伤感图片:
伤感图片带字
非主流伤感图片
唯美伤感图片
女生伤感图片
唯美意境图片
悲伤的图片
唯美意境伤感图片
只有字的伤感图片
说说图片
伤心的图片
美甲图片
图片大全
情感图片
微信头像男
动态壁纸
动漫配图
伤感图片
首页
>
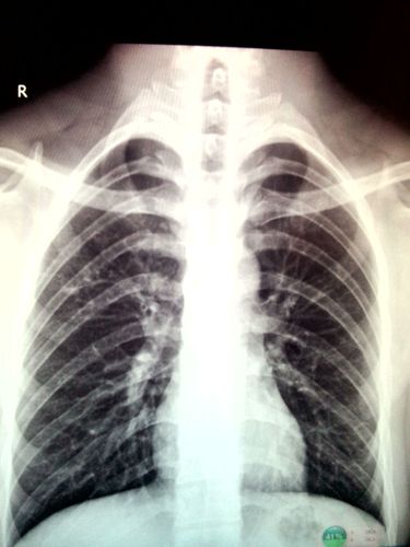
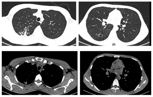
肺结核咳出骨头
肺结核咳出骨头,肺结核咳出坏死物图片
3年9月检查出来肺结核,但是不咳嗽,只是背部疼痛.
肺结核有多恐怖?
肺结核活动性的判定及相关知识点——路希维院长,伍建林教授
咳嗽咳痰6年,小伙吃激素竟吃出肺结核!-medsci.cn
体检出有陈旧性肺结核是怎么回事
更多推荐
肺结核咳出坏死物图片
咳出肺
肺结核
空洞型肺结核
咳出肺的图片
预防肺结核
如何预防肺结核
肺结核的早期症状
肺结核病毒
肺结核ct
肺结核图片
肺结核手抄报
肺癌咳出肿瘤组织图片
肺结核x光片
肺结核海报图片
预防肺结核手抄报
肺结核手抄报高中
肺结核手抄报高清
肺结核手抄报画画
肺结核手抄报漂亮
肺结核手抄报模板
肺结核手抄报内容
肺结核手抄报初一
肺结核图片简笔画
咳出一块肉
肺结核卡通图片
咳哪几种痰是肺癌图片
肺结核手抄报素材
咳出腹肌
咳出个肺的搞笑图片