首页
伤感说说
动漫配图
心情说说
抖音文案
伤感图片
伤感说说:
伤感的句子说说心情
空间说说
心情说说
爱情说说
女生伤感说说
人生感悟
心情不好的说说
说说带图片
关于生活的说说
说说心情短语
qq空间说说带图片
个性说说
励志名言
一句话经典语录
感悟人生的经典句子
短句吧
情感故事
抖音文案
伤感图片:
伤感图片带字
非主流伤感图片
唯美伤感图片
女生伤感图片
唯美意境图片
悲伤的图片
唯美意境伤感图片
只有字的伤感图片
说说图片
伤心的图片
美甲图片
图片大全
情感图片
微信头像男
动态壁纸
动漫配图
伤感图片
首页
>
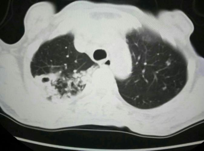
肺结核咳痰带血丝图片
肺结核咳痰带血丝图片,肺结核初期痰的图片
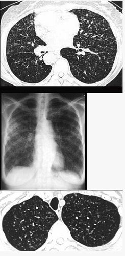
更新 a 粟粒性肺结核 b 含铁血黄素沉着 c 弥漫
肺结核相关知识点--王俊豪老师
咳痰,为黄色粘痰伴痰中带血——淋巴细胞性间质性肺炎
【科普】咳嗽不止,咳痰有血丝.小心是肺结核!
这是肺结核吗?吐痰带着黑色的血块 请各位帮帮我
更多推荐
肺结核初期痰的图片
肺结核咳出坏死物图片
肺结核咳出来的痰图片
肺结核痰中带血丝图片
肺结核痰有血图
咽炎咳痰出血图片
肺癌血痰图片
肺结核图片
咳哪几种痰是肺癌图片
咽炎咳出来痰有血图片
咽炎痰中带血图片
咳嗽咳痰图片
有效咳嗽咳痰图片
指导有效咳嗽咳痰图片
肺结核海报图片
肺癌早期痰液图片
支气管扩张血痰图片
肺结核卡通图片
咽炎咳嗽出血图片大全
血痰图片
正常咽炎咳出血图片
真实咳嗽出血图片
不正常的肺结核皮试图
大便果冻状带血丝图片
肺结核
空洞型肺结核
肝癌脚上血丝图片
如何预防肺结核
预防肺结核
肺结核的早期症状