首页
伤感说说
动漫配图
心情说说
抖音文案
伤感图片
伤感说说:
伤感的句子说说心情
空间说说
心情说说
爱情说说
女生伤感说说
人生感悟
心情不好的说说
说说带图片
关于生活的说说
说说心情短语
qq空间说说带图片
个性说说
励志名言
一句话经典语录
感悟人生的经典句子
短句吧
情感故事
抖音文案
伤感图片:
伤感图片带字
非主流伤感图片
唯美伤感图片
女生伤感图片
唯美意境图片
悲伤的图片
唯美意境伤感图片
只有字的伤感图片
说说图片
伤心的图片
美甲图片
图片大全
情感图片
微信头像男
动态壁纸
动漫配图
伤感图片
首页
>
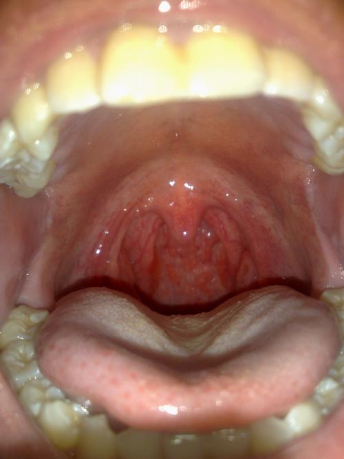
喉咙里面有小泡泡
喉咙里面有小泡泡,喉咙有泡泡
喉咙小舌头有一个球不疼不痒不影响吃东西
扁桃体俩边的那块肉看上去有几个小洞,而且喉咙咽口水
希望中医能给开服药 喉咙痛 很长时间了 声音也有点嘶哑 左边扁桃体
我患的是慢性咽炎,这几天咽炎发作吃东西(咽口水)就喉咙痛,拍个照发现
我喉咙痛咽东西都疼还咳嗽怎么办
更多推荐
喉咙有泡泡
喉咙里面长泡泡图片
喉咙有泡泡图片
喉咙里面长泡泡怎么办
小孩喉咙有泡泡图片
喉咙里面有小疙瘩
喉咙长泡泡
喉咙长泡泡图片
喉咙里的小舌头
喉咙长泡泡是怎么回事
喉咙里面有小疙瘩图片
喉咙里面有白色的东西
喉咙里面图片
喉咙里面长息肉
喉咙滤泡
舌根喉咙处起泡泡图片
喉咙里有白色颗粒
喉咙里面的小疙瘩图片
喉咙里面图片清晰
喉咙起泡图片
喉咙里咳出小颗粒很臭
喉咙处有小疙瘩图片
喉咙发炎里面发黑图片
喉咙内壁长了很多泡
正常喉咙里面的图片
喉咙内壁长泡图片
喉咙壁上长了好多泡
喉咙里长了个小肉疙瘩
慢性咽炎喉咙滤泡图片
喉咙里面长了个肉疙瘩