首页
伤感说说
动漫配图
心情说说
抖音文案
伤感图片
伤感说说:
伤感的句子说说心情
空间说说
心情说说
爱情说说
女生伤感说说
人生感悟
心情不好的说说
说说带图片
关于生活的说说
说说心情短语
qq空间说说带图片
个性说说
励志名言
一句话经典语录
感悟人生的经典句子
短句吧
情感故事
抖音文案
伤感图片:
伤感图片带字
非主流伤感图片
唯美伤感图片
女生伤感图片
唯美意境图片
悲伤的图片
唯美意境伤感图片
只有字的伤感图片
说说图片
伤心的图片
美甲图片
图片大全
情感图片
微信头像男
动态壁纸
动漫配图
伤感图片
首页
>
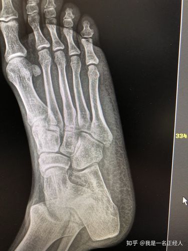
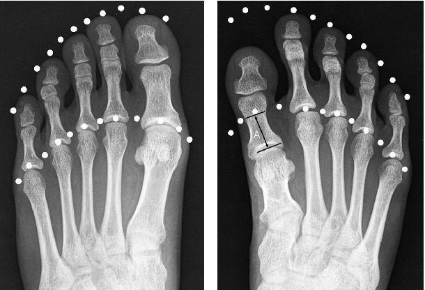
先天性第四跖骨短小症
先天性第四跖骨短小症,先天性高肩胛骨症图片
脚趾短小怎么办?
一次性手术治疗先天性跖骨短小症
右脚第五跖骨基底部骨折小记
该和双脚患有第四跖骨短小症的女友继续交往吗?
四岁小孩因为车祸导致右脚跖骨1-5粉碎性骨折,目前已经七个月,小拇指
更多推荐
先天性高肩胛骨症图片
先天性髌骨脱位
先天性锁骨假关节
先天性厚甲症
先天性高肩胛症图
小儿先天性腱鞘炎图片
先天性脊柱裂
先天性髋关节发育不良
先天性厚甲症图片
先天性脊柱裂图片
先天性肌斜颈
先天性耳聋
先天性愚型
先天性青光眼
先天性耳前瘘管
先天性颈部瘘管图片
高肩胛骨症图片
高肩胛骨症孩子图片
先天性耳前瘘管手术
先天性唇腭裂
先天性耳前瘘管图片
先天性鱼鳞病
先天性眼睑下垂图片
先天性毛囊缺失图片
先天性唇腭裂图片
先天性口腔内上颚腭裂
先天性巨痣
高肩胛症
厚甲症
厚甲症如何彻底根治