首页
伤感说说
动漫配图
心情说说
抖音文案
伤感图片
伤感说说:
伤感的句子说说心情
空间说说
心情说说
爱情说说
女生伤感说说
人生感悟
心情不好的说说
说说带图片
关于生活的说说
说说心情短语
qq空间说说带图片
个性说说
励志名言
一句话经典语录
感悟人生的经典句子
短句吧
情感故事
抖音文案
伤感图片:
伤感图片带字
非主流伤感图片
唯美伤感图片
女生伤感图片
唯美意境图片
悲伤的图片
唯美意境伤感图片
只有字的伤感图片
说说图片
伤心的图片
美甲图片
图片大全
情感图片
微信头像男
动态壁纸
动漫配图
伤感图片
首页
>
胸锁骨关节发炎图片
胸锁骨关节发炎图片,胸锁骨关节炎的症状
胸锁关节炎是怎么回事?怎么治好得快?一个视频说明白
胸锁关节,肩锁关节,肩胛胸壁关节,盂肱关节,涉及到胸骨,锁骨,肋骨
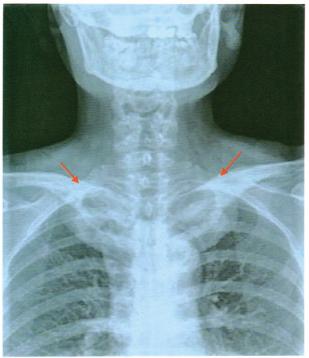
病例2就诊时胸锁关节x线显示双侧锁骨中近段明显增粗,密度增高
起源地在颈部胸锁关节上
胸锁关节炎症状
更多推荐
胸锁骨关节炎的症状
胸锁关节突出很大图片
右胸锁关节炎的症状图
胸锁骨关节凸起
胸锁关节凸起疼痛
胸锁关节炎图片
胸锁骨关节
胸锁关节炎
锁骨增生图片
锁骨骨头凸起一块图片
胸锁关节位置
胸锁关节凸起的原因
胸锁关节凸起图片
胸锁关节炎症状
胸锁关节炎位置图片
胸锁关节解剖图
胸锁关节关节盘
锁骨发炎图片
胸锁关节一高一低图片
胸锁关节图片
先天性锁骨假关节图片
胸锁关节位置图片
一侧锁骨骨头突出图片
胸锁关节脱位
先天性锁骨假关节
胸锁关节凸起
胸锁关节位置示意图
胸锁关节
锁骨下有骨头凸起图解
胸锁骨凸起图