首页
伤感说说
动漫配图
心情说说
抖音文案
伤感图片
伤感说说:
伤感的句子说说心情
空间说说
心情说说
爱情说说
女生伤感说说
人生感悟
心情不好的说说
说说带图片
关于生活的说说
说说心情短语
qq空间说说带图片
个性说说
励志名言
一句话经典语录
感悟人生的经典句子
短句吧
情感故事
抖音文案
伤感图片:
伤感图片带字
非主流伤感图片
唯美伤感图片
女生伤感图片
唯美意境图片
悲伤的图片
唯美意境伤感图片
只有字的伤感图片
说说图片
伤心的图片
美甲图片
图片大全
情感图片
微信头像男
动态壁纸
动漫配图
伤感图片
首页
>
螺旋形骨折的图片
螺旋形骨折的图片,骨折分类
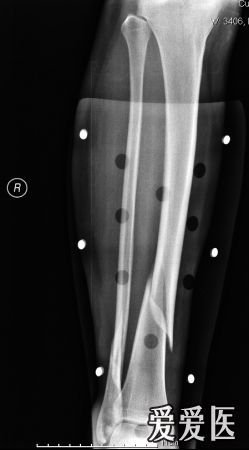
我是六月十八号摔着的,胫骨远端螺旋形骨折,下图是九月三号拍的片子
小腿中下段螺旋形骨折髓内针固定,锁钉安装后发现有旋转移位
90岁股骨远端长螺旋形骨折
肱骨骨折术后六周求助(附片)
右胫骨螺旋形骨折,2.右腓骨下段
更多推荐
骨折分类
螺旋形骨折
青枝骨折图片
胫骨螺旋骨折图片
螺旋形图片图案
螺旋形的物品图片
螺旋形图片
螺旋形包扎法图片
螺旋形图片简笔画
骨折图片
螺旋形构图
螺旋形的防波堤
螺旋形画图案
螺旋形
骨折包扎图片
螺旋形设计
螺旋形怎么画
螺旋形上升
螺旋形物品
螺旋形物体
螺旋形建筑
螺旋形简笔画
螺旋形包扎法
斜形骨折
反折螺旋形包扎法
胫腓骨骨折
跖骨骨折
股骨骨折
胫骨平台骨折
股骨粗隆间骨折