首页
伤感说说
动漫配图
心情说说
抖音文案
伤感图片
伤感说说:
伤感的句子说说心情
空间说说
心情说说
爱情说说
女生伤感说说
人生感悟
心情不好的说说
说说带图片
关于生活的说说
说说心情短语
qq空间说说带图片
个性说说
励志名言
一句话经典语录
感悟人生的经典句子
短句吧
情感故事
抖音文案
伤感图片:
伤感图片带字
非主流伤感图片
唯美伤感图片
女生伤感图片
唯美意境图片
悲伤的图片
唯美意境伤感图片
只有字的伤感图片
说说图片
伤心的图片
美甲图片
图片大全
情感图片
微信头像男
动态壁纸
动漫配图
伤感图片
首页
>
眼外肌ct图像
眼外肌ct图像,眼外肌六条肌解剖图
mr影像ct影像眼的附属结构:由眼外肌,视神经,泪器以及眶内的脂肪,血管
依据与肌锥的位置关系将眼眶肿瘤分为锥外型,锥内型和视神经
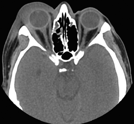
头部轴位 ct(未造影)示右侧外直肌及肌腱增厚.
分别为眼眶横断面脂肪抑制t1wi和t2wi,示两眼球突出,两侧多条眼外肌增
眼眶肌锥内常见肿块ctmr诊断
更多推荐
眼外肌六条肌解剖图
眼外肌解剖图
眼外肌示意图
眼外肌结构图
眼外肌位置图片
眼外肌图片
尾骨ct图像
眼外肌解剖图手绘
ct图像
眼睛6条眼外肌示意图
眼外肌运动示意图
眼外肌解剖示意图
眼外肌
眼外肌运动
主动脉ct图像
眼外肌增粗
脾脏ct图像
眼外肌麻痹
脑出血ct图像
眼外肌的神经支配
眼外肌的作用
眼外肌运动三维动画
正常垂体ct图像
眼外肌作用方向示意图
mri图像
肺部CT图像
肝脏分叶分段ct图像
主动脉夹层ct图像
六条眼外肌运动口诀
主动脉夹层ct平扫图像