首页
伤感说说
动漫配图
心情说说
抖音文案
伤感图片
伤感说说:
伤感的句子说说心情
空间说说
心情说说
爱情说说
女生伤感说说
人生感悟
心情不好的说说
说说带图片
关于生活的说说
说说心情短语
qq空间说说带图片
个性说说
励志名言
一句话经典语录
感悟人生的经典句子
短句吧
情感故事
抖音文案
伤感图片:
伤感图片带字
非主流伤感图片
唯美伤感图片
女生伤感图片
唯美意境图片
悲伤的图片
唯美意境伤感图片
只有字的伤感图片
说说图片
伤心的图片
美甲图片
图片大全
情感图片
微信头像男
动态壁纸
动漫配图
伤感图片
首页
>
机械性肠梗阻
机械性肠梗阻,动力性肠梗阻
肠梗阻分类
粘连性肠梗阻应如何自测 预防粘连性肠梗阻的方法
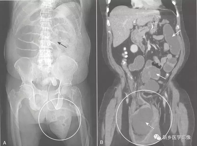
如何辨识肠梗阻经典影像?
肠梗阻
机械性肠梗阻
更多推荐
动力性肠梗阻
高位肠梗阻
麻痹性肠梗阻
血运性肠梗阻
小肠梗阻
蛔虫性肠梗阻
肠梗阻
肠梗阻的症状
肠梗阻导管
肠梗阻图解
肠梗阻CT
肠梗阻手术
肠梗阻平片
肠梗阻图片
肠梗阻解剖
肠梗阻卡通
肠梗阻片子图片
肠梗阻的症状初期
肠梗阻腹部平片
肠梗阻的症状及治疗
机械性静脉炎
肠梗阻导管示意图
肠梗阻导管说明书
机械性紫癜
机械性紫斑
机械性窒息
非机械性窒息
肠梗阻卡通图片
机械性紫癜图片
机械性静脉炎的图片