首页
伤感说说
动漫配图
心情说说
抖音文案
伤感图片
伤感说说:
伤感的句子说说心情
空间说说
心情说说
爱情说说
女生伤感说说
人生感悟
心情不好的说说
说说带图片
关于生活的说说
说说心情短语
qq空间说说带图片
个性说说
励志名言
一句话经典语录
感悟人生的经典句子
短句吧
情感故事
抖音文案
伤感图片:
伤感图片带字
非主流伤感图片
唯美伤感图片
女生伤感图片
唯美意境图片
悲伤的图片
唯美意境伤感图片
只有字的伤感图片
说说图片
伤心的图片
美甲图片
图片大全
情感图片
微信头像男
动态壁纸
动漫配图
伤感图片
首页
>
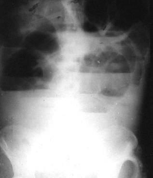
结肠梗阻
结肠梗阻,大肠梗阻
结 肠 梗 阻 c t 平 扫 ★结肠梗阻—ct平扫见结肠肠腔扩张及结肠
结肠扭转ct诊断
图23 两支架就位良好,肠梗阻缓解,扩张的横结肠回缩,造影剂通过结肠脾
术中证实乙状结肠扭转,扭转360度,完全性接肠梗阻,乙状结肠扩
大肠梗阻
更多推荐
大肠梗阻
结肠袋形
结肠袋
梗阻
小肠梗阻
结肠
结肠带
结肠肝曲
结肠癌
结肠位置
间位结肠
乙状结肠
喉梗阻
胆道梗阻
气道梗阻
结肠人体
结肠图片
幽门梗阻
结肠解剖
结肠丸
喉梗阻分度
结肠和直肠的位置图
吻合口梗阻
输入段梗阻
小儿喉梗阻
气道异物梗阻
输入袢梗阻
结肠位置图片
上呼吸道梗阻
喉梗阻图片