首页
伤感说说
动漫配图
心情说说
抖音文案
伤感图片
伤感说说:
伤感的句子说说心情
空间说说
心情说说
爱情说说
女生伤感说说
人生感悟
心情不好的说说
说说带图片
关于生活的说说
说说心情短语
qq空间说说带图片
个性说说
励志名言
一句话经典语录
感悟人生的经典句子
短句吧
情感故事
抖音文案
伤感图片:
伤感图片带字
非主流伤感图片
唯美伤感图片
女生伤感图片
唯美意境图片
悲伤的图片
唯美意境伤感图片
只有字的伤感图片
说说图片
伤心的图片
美甲图片
图片大全
情感图片
微信头像男
动态壁纸
动漫配图
伤感图片
首页
>
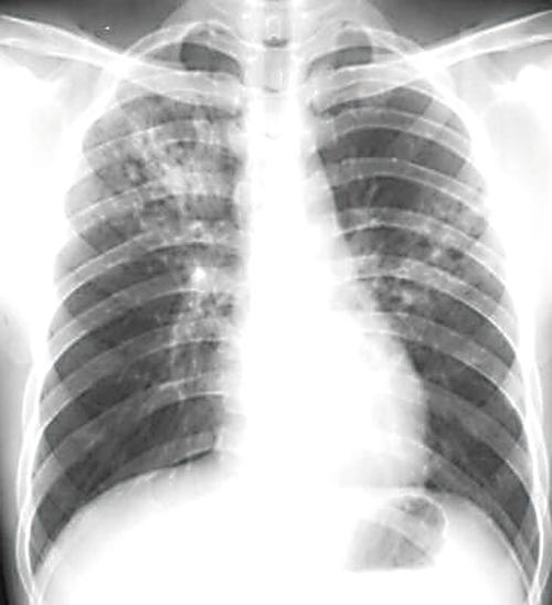
肺结核能活多久
肺结核能活多久,肺结核会传染吗
肺结核晚期是什么症状
朋友肺结核,昨天还是生龙活虎今天就沉默不语,大家有好的建议吗
肺结核并发症肺结核会引发什么疾病
肺结核
肺结核药物治疗
更多推荐
肺结核会传染吗
女性肺结核的早期症状
肺结核能治好吗 早期
肺结核能治好吗
肺结核的早期症状
肺结核ct片图片图解
肺癌晚期能活多久
尿毒症能活多久
乳腺癌能活多久
肺结核
空洞型肺结核
预防肺结核
如何预防肺结核
肺结核ct
肺结核x光片
口腔癌能活多久
肺结核病毒
肺结核图片
口腔癌能活多久癌症
牙癌能活多久
肝癌晚期能活多久一般
肺结核手抄报
尿毒症透析能活多久
前列腺癌晚期能活多久
肺结核海报图片
预防肺结核手抄报
艾滋病能活多久
肺结核手抄报高清
不正常的肺结核皮试图
肺结核手抄报初一