首页
伤感说说
动漫配图
心情说说
抖音文案
伤感图片
伤感说说:
伤感的句子说说心情
空间说说
心情说说
爱情说说
女生伤感说说
人生感悟
心情不好的说说
说说带图片
关于生活的说说
说说心情短语
qq空间说说带图片
个性说说
励志名言
一句话经典语录
感悟人生的经典句子
短句吧
情感故事
抖音文案
伤感图片:
伤感图片带字
非主流伤感图片
唯美伤感图片
女生伤感图片
唯美意境图片
悲伤的图片
唯美意境伤感图片
只有字的伤感图片
说说图片
伤心的图片
美甲图片
图片大全
情感图片
微信头像男
动态壁纸
动漫配图
伤感图片
首页
>
曲面体层片正常结构
曲面体层片正常结构,人体结构
口腔曲面体层片中的奥秘—唐蓓博士
垂直点外,在胶片x,y两个维度轴上各方向,共同组成一幅图像的组织结构
口腔曲面体层片中的奥秘—唐蓓博士
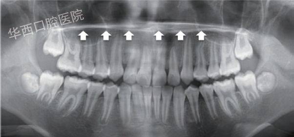
曲面体层片显示:18,28,38,48存在.
口腔曲面体层片中的奥秘—唐蓓博士_结构
更多推荐
人体结构
曲面断层片
单侧曲面
人体结构示意图器官
人体结构图
曲面图形
曲面
三维曲面
高的结构
结构
曲面屏
旋转曲面
空间曲面
曲面屏显示器
曲面建筑
眼睛结构
原子结构示意图
子宫图结构示意图
三星曲面屏手机
曲面屏手机
曲面手机
心脏结构
曲面屏钢化膜
显微镜的基本结构
曲面屏壁纸
包的结构
华为曲面屏
花的结构示意图
消化系统结构简图
口腔结构