首页
伤感说说
动漫配图
心情说说
抖音文案
伤感图片
伤感说说:
伤感的句子说说心情
空间说说
心情说说
爱情说说
女生伤感说说
人生感悟
心情不好的说说
说说带图片
关于生活的说说
说说心情短语
qq空间说说带图片
个性说说
励志名言
一句话经典语录
感悟人生的经典句子
短句吧
情感故事
抖音文案
伤感图片:
伤感图片带字
非主流伤感图片
唯美伤感图片
女生伤感图片
唯美意境图片
悲伤的图片
唯美意境伤感图片
只有字的伤感图片
说说图片
伤心的图片
美甲图片
图片大全
情感图片
微信头像男
动态壁纸
动漫配图
伤感图片
首页
>
肺不张胸片典型图片
肺不张胸片典型图片,肺不张胸片表现图片
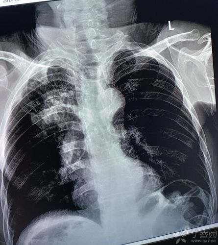
病人胸片,请大家我没有肺结核或肺癌等其他情况
与肺不张,阻塞性肺炎并存时,可呈现反"s"形征象,有诊断意义.
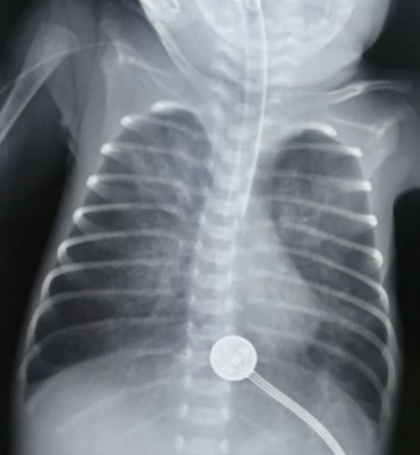
灌洗后当天复查胸片肺不张消失
最近痰多,拍了张胸片,医生看了说没事
左侧胸膜肥厚 b.左侧胸腔积液 c.左侧液气胸 d.左侧肺不张 e.
更多推荐
肺不张胸片表现图片
肺气肿胸片典型图片
气胸胸片典型图片x片
气胸胸片典型图片
胸腔积液胸片典型图片
正常胸片和肺炎胸片图
正常胸片典型图片
肺不张x线图片
肺不张胸片表现
肺不张胸片
胸片图片肺大泡
胸片图片肺气肿
肺不张图片
肺不张x线表现图片
肺不张ct表现图片
胸腔积液胸片表现图片
肺部正常胸片影像图片
正常胸片和气胸胸片
正常胸片图片图解
胸片正常图片结节影
正常的肺和肺气肿图片
肺不张x线表现
肺不张x线
肺气肿x线图片
气胸x线胸片图解
胸片图片
胸片正常图片
正常人胸片图片
肺气肿胸片
肺部图片真实照片