首页
伤感说说
动漫配图
心情说说
抖音文案
伤感图片
伤感说说:
伤感的句子说说心情
空间说说
心情说说
爱情说说
女生伤感说说
人生感悟
心情不好的说说
说说带图片
关于生活的说说
说说心情短语
qq空间说说带图片
个性说说
励志名言
一句话经典语录
感悟人生的经典句子
短句吧
情感故事
抖音文案
伤感图片:
伤感图片带字
非主流伤感图片
唯美伤感图片
女生伤感图片
唯美意境图片
悲伤的图片
唯美意境伤感图片
只有字的伤感图片
说说图片
伤心的图片
美甲图片
图片大全
情感图片
微信头像男
动态壁纸
动漫配图
伤感图片
首页
>
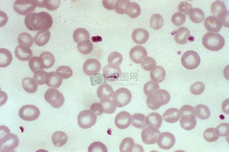
血小板计数池镜下图
血小板计数池镜下图,细胞计数板计数法图示
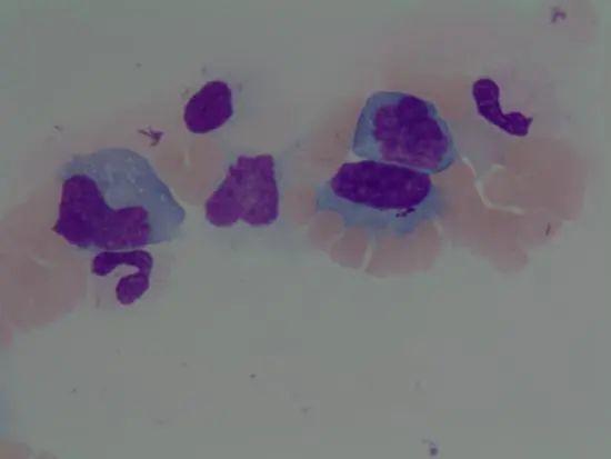
"看似简单"的肠道人芽囊原虫感染病例
肺泡灌洗液细胞学检查只需看细胞吗
按照惯例,遇到这种患者我们就是涂片镜检,人工计数.
教科书都没这样写血小板假性升高竟是
复制分裂的细胞
更多推荐
细胞计数板计数法图示
血小板显微镜下图片
电镜下的血小板
血球计数板
血小板图片血浆
血小板显微镜
血小板图片显微镜
血小板
血小板细胞
计数池
工作细胞血小板
血小板全身
血小板女孩
血小板真人
血小板图片
细菌计数板
计数池结构图片
血小板可爱
计数板
细胞计数
细胞计数仪
计数板图片
升血小板胶囊
血小板头像
平板菌落计数法
计数
血小板壁纸
血小板动漫
血小板动态图
菌落计数器