首页
伤感说说
动漫配图
心情说说
抖音文案
伤感图片
伤感说说:
伤感的句子说说心情
空间说说
心情说说
爱情说说
女生伤感说说
人生感悟
心情不好的说说
说说带图片
关于生活的说说
说说心情短语
qq空间说说带图片
个性说说
励志名言
一句话经典语录
感悟人生的经典句子
短句吧
情感故事
抖音文案
伤感图片:
伤感图片带字
非主流伤感图片
唯美伤感图片
女生伤感图片
唯美意境图片
悲伤的图片
唯美意境伤感图片
只有字的伤感图片
说说图片
伤心的图片
美甲图片
图片大全
情感图片
微信头像男
动态壁纸
动漫配图
伤感图片
首页
>
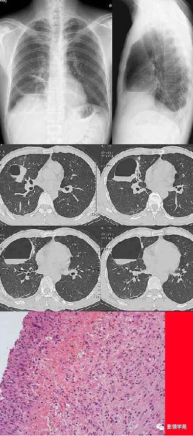
肺实变
肺实变,肺实变ct图片
肺实变后支气管充气征
肺大泡合并感染: 肺大泡周围肺组织实变,表现为片状影或肺实变影内有
两组恒河猴代表性肺部图像对比,对照组(b)可见集中而广泛的肺部实变
肺实变,大片阴影,肺量增加
肺实变
更多推荐
肺实变ct图片
肺实变ct
肺气肿 片子
白肺
肺空洞
肺实变图片
肺空腔
肺肿瘤
肺不张
肺纹理增多
阻塞性肺不张
肺实变体征
肺不张ct经典图片
肺部钙化
肺实变x线表现图片