首页
伤感说说
动漫配图
心情说说
抖音文案
伤感图片
伤感说说:
伤感的句子说说心情
空间说说
心情说说
爱情说说
女生伤感说说
人生感悟
心情不好的说说
说说带图片
关于生活的说说
说说心情短语
qq空间说说带图片
个性说说
励志名言
一句话经典语录
感悟人生的经典句子
短句吧
情感故事
抖音文案
伤感图片:
伤感图片带字
非主流伤感图片
唯美伤感图片
女生伤感图片
唯美意境图片
悲伤的图片
唯美意境伤感图片
只有字的伤感图片
说说图片
伤心的图片
美甲图片
图片大全
情感图片
微信头像男
动态壁纸
动漫配图
伤感图片
首页
>
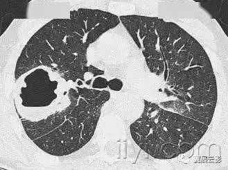
肺实变x线表现图片
肺实变x线表现图片,肺不张x线表现图片
1 患者肺部影像学变化
肺实变是什么意思?是肺癌吗?
主要是还是病变范围扩大和融合造成双肺实变甚至纤维化
胸部x线显示双侧气胸(左>右),右叶有薄壁空洞.
平片和ct:空洞是肺实变,肿块或者结节内的充气空隙,呈现透亮区或者低
更多推荐
肺不张x线表现图片
气胸的x线表现图片
肺不张x线图片
肺结核x线图片
肺气肿x线图片
肺不张x线表现
一侧肺不张的x线图片
肺结核x线表现
肺气肿x线表现
肠套叠x线表现图片
大叶性肺炎x线表现
支气管炎x线图片
小叶性肺炎的x线表现
x线图片
气胸的x线表现
骨肉瘤x线图片
支气管扩张x线表现
肠梗阻x线图片影像学
气胸x线胸片图解
骨巨细胞瘤x线图片
胸腔积液的x线表现
腺样体肥大x线图片
肺结核x线
胃溃疡x线表现
骨龄x线对照表图片
骨质疏松的x线图片
骨质疏松x线表现
dr各部位x线摆位图片
鼻骨侧位x线图片
气液平面x线图片