首页
伤感说说
动漫配图
心情说说
抖音文案
伤感图片
伤感说说:
伤感的句子说说心情
空间说说
心情说说
爱情说说
女生伤感说说
人生感悟
心情不好的说说
说说带图片
关于生活的说说
说说心情短语
qq空间说说带图片
个性说说
励志名言
一句话经典语录
感悟人生的经典句子
短句吧
情感故事
抖音文案
伤感图片:
伤感图片带字
非主流伤感图片
唯美伤感图片
女生伤感图片
唯美意境图片
悲伤的图片
唯美意境伤感图片
只有字的伤感图片
说说图片
伤心的图片
美甲图片
图片大全
情感图片
微信头像男
动态壁纸
动漫配图
伤感图片
首页
>
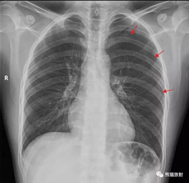
气胸的x线影像描述
气胸的x线影像描述,气胸x线胸片典型表现
你要是气胸,诊断都是x线胸片_医疗健康_医疗健康其他
这样的气胸不少见 胸腔穿刺需谨慎!
x线读片技巧ppt
影像学上如何判断气胸时肺被压缩了多少?
气胸的x线表现,6个病例帮你搞定
更多推荐
气胸x线胸片典型表现
气胸诊断报告
典型气胸x线胸片图解
气胸x线胸片图解
气胸胸片典型图片
气胸的x线表现
气胸x线胸片报告
肠梗阻x线表现
正常胸片和气胸胸片
大叶性肺炎x线图片
气胸x线胸片表现
气胸x线胸片描述
气胸x线胸片
气胸X线
气胸胸片
胰腺炎x线影像
痛风石x线影像图片
正常胸片影像图片
正常鼻骨x线影像图片
胸腔积液X线
气胸ct
气胸手术
气胸线图片
气胸的图片
气胸插管
气胸片子
气胸
气胸排气
液气胸
气胸微创手术疤痕图片