首页
伤感说说
动漫配图
心情说说
抖音文案
伤感图片
伤感说说:
伤感的句子说说心情
空间说说
心情说说
爱情说说
女生伤感说说
人生感悟
心情不好的说说
说说带图片
关于生活的说说
说说心情短语
qq空间说说带图片
个性说说
励志名言
一句话经典语录
感悟人生的经典句子
短句吧
情感故事
抖音文案
伤感图片:
伤感图片带字
非主流伤感图片
唯美伤感图片
女生伤感图片
唯美意境图片
悲伤的图片
唯美意境伤感图片
只有字的伤感图片
说说图片
伤心的图片
美甲图片
图片大全
情感图片
微信头像男
动态壁纸
动漫配图
伤感图片
首页
>
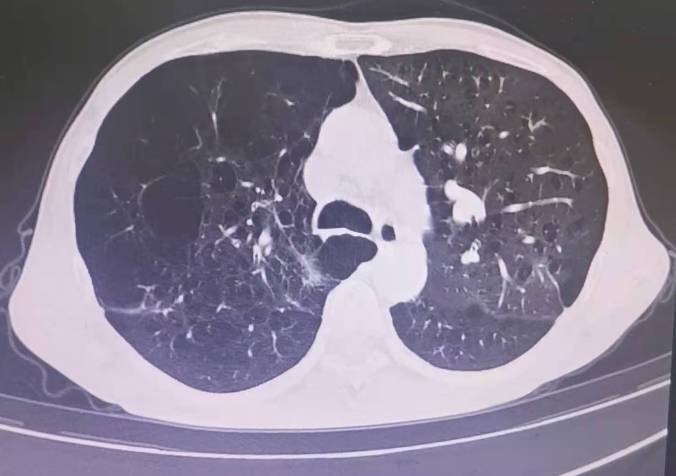
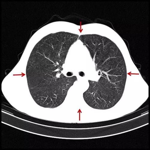
肺气肿CT图片
肺气肿CT图片,肺气肿x线图片
肺气肿 - 好大夫在线
肺气肿的ct表现
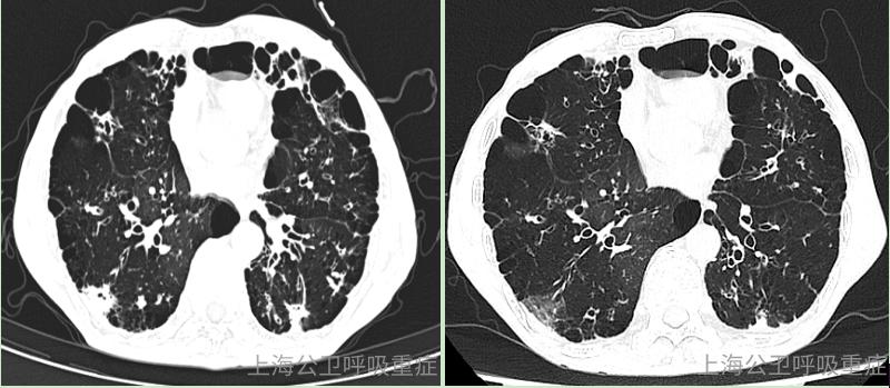
两肺肺气肿,胸膜下多发结节 中央小空洞,会是什么病原体?
肺大泡怎么办?
ct片示徐大叔多发肺大泡形成
更多推荐
肺气肿x线图片
肺气肿ct图片讲解
肺气肿图片高清图片
肺结核CT图片
肺气肿的ct图片
肺气肿图片
怎样看肺气肿ct图片
肺气肿的ct表现图片
肺气肿图片病人
正常肺ct片图片图解
肺结核ct图片
肺部ct图片
肺气肿ct
肺气肿的ct
肺癌ct图片
肺炎ct图片
肺气肿胸片
肺结核的ct图片
肺气肿片子
肺气肿的ct表现
肺气肿肺大泡
ct图片胸片
正常健康肺的ct图片
肝癌ct图片
正常人的肺部ct图片
肺气肿x线表现
ct片子图片
轻度肺气肿
肺气肿
肺气肿正常