首页
伤感说说
动漫配图
心情说说
抖音文案
伤感图片
伤感说说:
伤感的句子说说心情
空间说说
心情说说
爱情说说
女生伤感说说
人生感悟
心情不好的说说
说说带图片
关于生活的说说
说说心情短语
qq空间说说带图片
个性说说
励志名言
一句话经典语录
感悟人生的经典句子
短句吧
情感故事
抖音文案
伤感图片:
伤感图片带字
非主流伤感图片
唯美伤感图片
女生伤感图片
唯美意境图片
悲伤的图片
唯美意境伤感图片
只有字的伤感图片
说说图片
伤心的图片
美甲图片
图片大全
情感图片
微信头像男
动态壁纸
动漫配图
伤感图片
首页
>
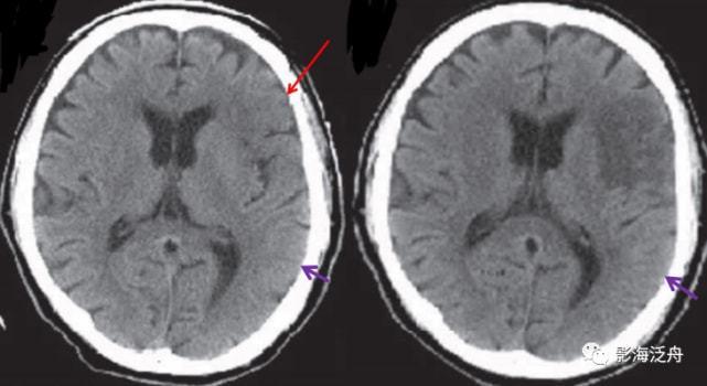
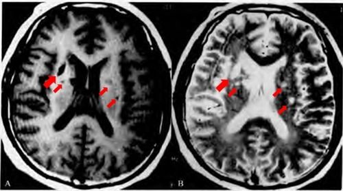
脑梗死ct影像
脑梗死ct影像,脑ct图片讲解
汇总| 超早期脑梗死ct征象
脑梗死丨演变,血供区域分布,ct表现
夜班不求人急性脑梗死的ct诊断
手把手教程:脑梗死影像读片入门
脑梗塞ct诊断
更多推荐
脑ct图片讲解
脑梗ct片子图解
脑梗死CT
脑出血ct影像
脑梗死影像
磁共振脑梗死图片
脑梗死ct报告模板
怎样看懂脑ct脑梗图片
脑梗死ct影像表现图片
ct脑梗死图片讲解
腔隙性脑梗塞ct图片
脑出血ct影像表现图片
基底节区脑梗塞ct图片
脑梗死ct影像图片
脑ct图片讲解脑梗死
脑出血影像
脑出血ct影像表现
脑梗ct图片怎么看
脑梗塞图解
脑梗塞ct表现
脑梗死临床表现
脑梗死图片解析
脑梗死核磁
脑梗死ct图片
脑梗塞片子图片
多发性脑梗死
脑出血ct图片解说图
脑出血ct影像图片
基底节腔隙性脑梗死
脑梗塞ct图片解说图