首页
伤感说说
动漫配图
心情说说
抖音文案
伤感图片
伤感说说:
伤感的句子说说心情
空间说说
心情说说
爱情说说
女生伤感说说
人生感悟
心情不好的说说
说说带图片
关于生活的说说
说说心情短语
qq空间说说带图片
个性说说
励志名言
一句话经典语录
感悟人生的经典句子
短句吧
情感故事
抖音文案
伤感图片:
伤感图片带字
非主流伤感图片
唯美伤感图片
女生伤感图片
唯美意境图片
悲伤的图片
唯美意境伤感图片
只有字的伤感图片
说说图片
伤心的图片
美甲图片
图片大全
情感图片
微信头像男
动态壁纸
动漫配图
伤感图片
首页
>
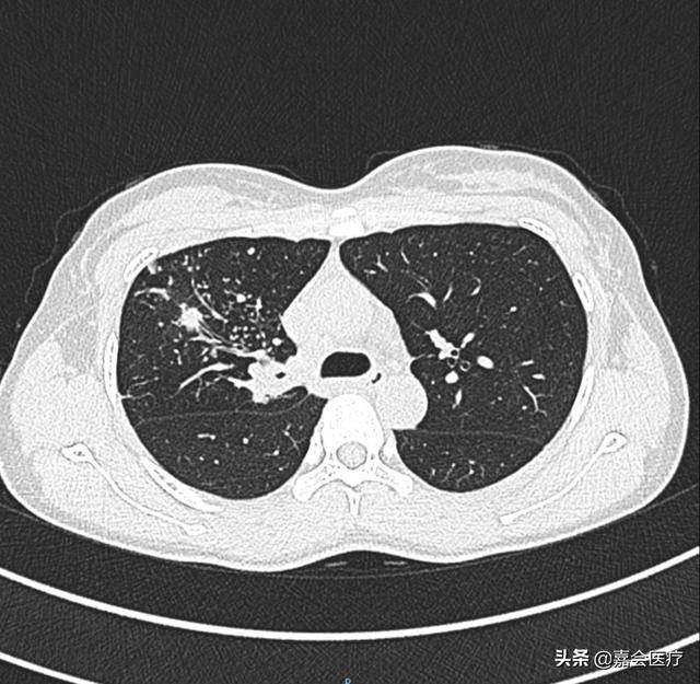
肺结核肺部ct表现
肺结核肺部ct表现,肺结核ct表现
医生你好,去医院体检出肺结核,拍了ct片子,求专家来看看这严
结果:抗酸杆菌阳性,抗结核治疗,症状好转.毁损肺,依旧毁损 3 1.
传染科 结核病 ct检查肺部有1.7*2.
麻烦大家帮忙看看这个ct图片.是肺炎?肺结核?肺癌?刚刚照得不清楚.
而肺部ct(下图右)的敏感性要高于胸片,可以看到 典型的结核表现为结节
更多推荐
肺结核ct表现
肺结核ct影像表现特点
肺结核ct
肺气肿ct表现
肺结核ct报告
正常肺与肺结核ct图片
肺癌ct表现
肺结核ct图片
正常肺与肺结核图片
肺结核ct图片早期
肺结核空洞ct图片
肺结核ct图片治愈
肺结核胸片
肺结核ct片图片图解
间质性肺炎ct表现
肺结核的早期症状ct图
肺结核
肺结核的早期症状
肺部ct
肺部结节ct图片图解
肺结核空洞
正常肺部ct
肺癌ct影像表现特点
肝癌ct表现
普通肺炎ct表现图片
肝囊肿ct表现
正常肺部ct图
正常肺部ct片
胰腺炎ct表现
脑萎缩ct表现