首页
伤感说说
动漫配图
心情说说
抖音文案
伤感图片
伤感说说:
伤感的句子说说心情
空间说说
心情说说
爱情说说
女生伤感说说
人生感悟
心情不好的说说
说说带图片
关于生活的说说
说说心情短语
qq空间说说带图片
个性说说
励志名言
一句话经典语录
感悟人生的经典句子
短句吧
情感故事
抖音文案
伤感图片:
伤感图片带字
非主流伤感图片
唯美伤感图片
女生伤感图片
唯美意境图片
悲伤的图片
唯美意境伤感图片
只有字的伤感图片
说说图片
伤心的图片
美甲图片
图片大全
情感图片
微信头像男
动态壁纸
动漫配图
伤感图片
首页
>
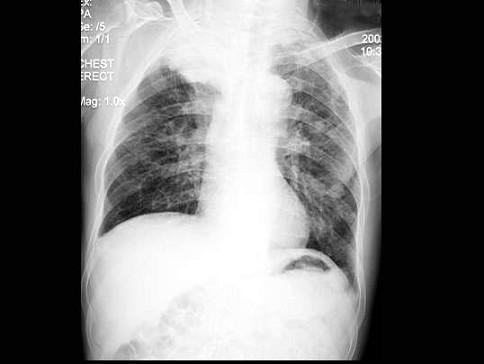
肺癌晚期 胸片
肺癌晚期 胸片,肺癌胸片晚期
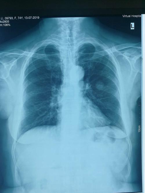
但是胸片体检有很大的问题,漏诊率很高,尤其是磨玻璃表现的早期肺癌
术前胸片
某男,57岁,胸痛2月余,最近感右臂疼痛,活动受限,胸片如图,最可能的
egfr-tki临床治愈晚期肺癌
肺癌的影像学表现【下】(多图)
更多推荐
肺癌胸片晚期
肺癌胸片早期
肺癌ct图片胸片
肺癌胸片
肺癌晚期图片
中央型肺癌胸片
肺癌胸片图
肺癌晚期
正常肺和肺癌图片
肺癌x光片
肺癌片子
早期肺癌ct图
肺癌的肺
肺结核胸片
肺癌患者的肺
正常肺部胸片
胸片肺气肿
正常肺对比肺癌ct图片
正常胸片和异常胸片
肺癌早期症状
肺癌ct图片
肺癌早期痰液图片
肺炎胸片
肺癌ct图片图解
肺癌分期
肺癌ct
肺癌的早期症状ct图片
肺癌图片高清图片
气胸胸片
肺癌CT