首页
伤感说说
动漫配图
心情说说
抖音文案
伤感图片
伤感说说:
伤感的句子说说心情
空间说说
心情说说
爱情说说
女生伤感说说
人生感悟
心情不好的说说
说说带图片
关于生活的说说
说说心情短语
qq空间说说带图片
个性说说
励志名言
一句话经典语录
感悟人生的经典句子
短句吧
情感故事
抖音文案
伤感图片:
伤感图片带字
非主流伤感图片
唯美伤感图片
女生伤感图片
唯美意境图片
悲伤的图片
唯美意境伤感图片
只有字的伤感图片
说说图片
伤心的图片
美甲图片
图片大全
情感图片
微信头像男
动态壁纸
动漫配图
伤感图片
首页
>
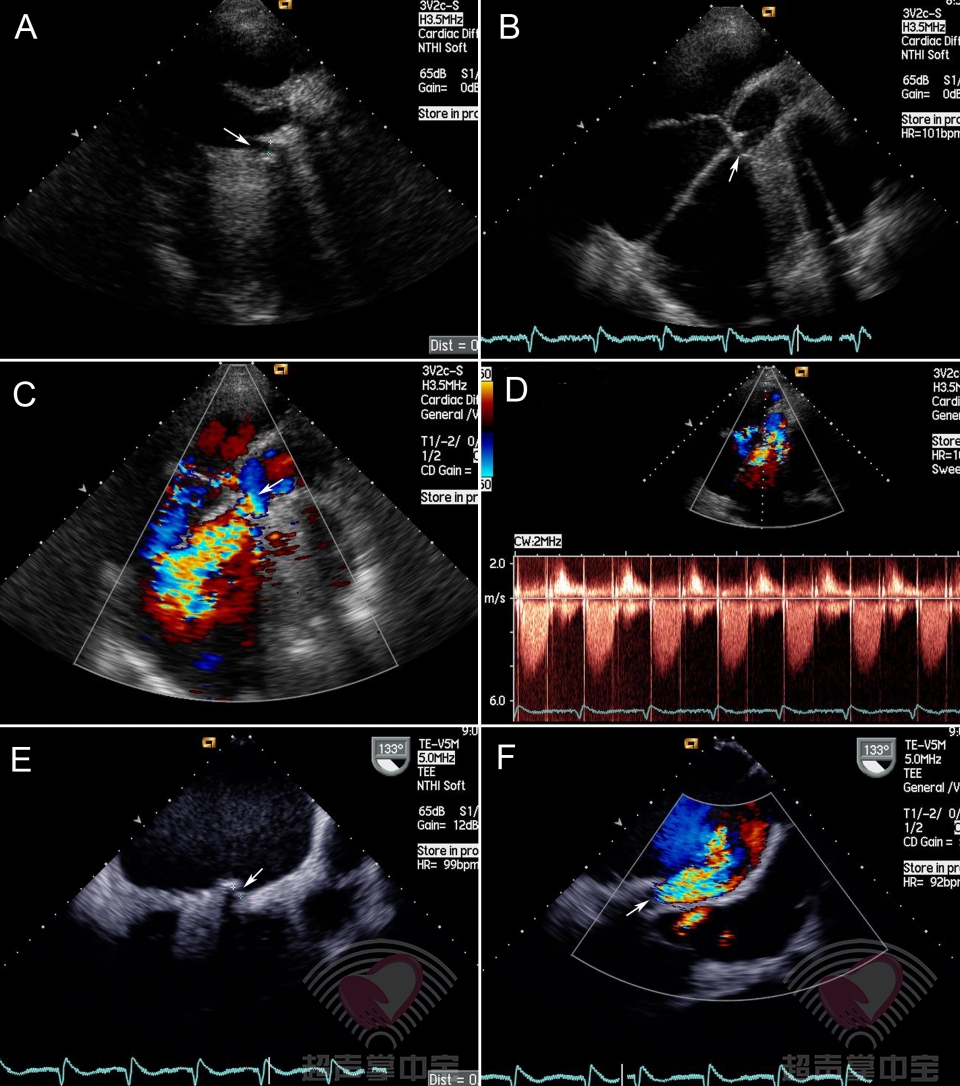
人工心脏瓣膜真实图片
人工心脏瓣膜真实图片,二尖瓣机械瓣膜图片
让你看实物人工血管心脏支架心脏瓣膜样子.pdf 12页
心脏人工瓣膜
心脏瓣膜病
人工心脏瓣膜制造技术
人工瓣膜释放
更多推荐
二尖瓣机械瓣膜图片
心脏开胸手术疤痕图片
心脏瓣膜手术图解书籍
心脏瓣膜图片超清
机械心脏瓣膜真实图片
心脏瓣膜置换术
心脏瓣膜真实图片
心脏瓣膜机械瓣膜图片
心脏瓣膜图片结构图
心脏瓣膜手术图片
人工心脏图片
心脏瓣膜图片
人工心脏瓣膜
心脏瓣膜真实
人工心脏支架图片
人工心脏工作图
全磁悬浮人工心脏图片
人工心脏结构图
人工心脏
心脏瓣膜动态图
人工心脏血泵
人工心脏能活多久
第三代人工心脏
心脏瓣膜手术
中国人工心脏
人工心脏价格
人工心脏泵
人工心脏最长存活年限
心脏瓣膜解剖
人工心脏思维导图