首页
伤感说说
动漫配图
心情说说
抖音文案
伤感图片
伤感说说:
伤感的句子说说心情
空间说说
心情说说
爱情说说
女生伤感说说
人生感悟
心情不好的说说
说说带图片
关于生活的说说
说说心情短语
qq空间说说带图片
个性说说
励志名言
一句话经典语录
感悟人生的经典句子
短句吧
情感故事
抖音文案
伤感图片:
伤感图片带字
非主流伤感图片
唯美伤感图片
女生伤感图片
唯美意境图片
悲伤的图片
唯美意境伤感图片
只有字的伤感图片
说说图片
伤心的图片
美甲图片
图片大全
情感图片
微信头像男
动态壁纸
动漫配图
伤感图片
首页
>
正常附件卵巢ct图片
正常附件卵巢ct图片,女性盆腔ct解剖图
【病例】卵巢颗粒细胞瘤1例ct影像表现
卵巢粘液性囊腺癌1例ct影像
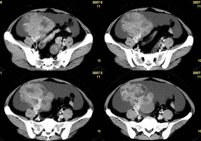
卵巢巨大肿瘤一例
卵巢囊腺癌(ovarian cystadenocarcinoma)ct病例(图文
ct49785:女性,36岁.月经不调,检查发现左卵巢可疑包块
更多推荐
女性盆腔ct解剖图
子宫附件ct解剖图
卵巢ct
女性正常子宫附件CT图
正常卵巢ct图片
正常卵巢ct
正常卵巢与多囊图片
附件囊肿ct图片
卵巢ct图片
正常卵巢图片
卵巢图片正常的图
正常卵巢
正常卵巢b超图
正常卵巢大小
正常女性盆腔ct图谱
正常肺ct片图片图解
卵巢ct解剖图像
正常卵巢b超
卵巢图片输卵管
正常头颅ct图片
卵巢图片子宫
卵巢图片黄体
正常肺ct片子
正常女性盆腔ct影像图
肺部ct正常图和异常图
正常头颅ct
卵巢输卵管
卵巢图片
卵巢
卵巢卵细胞