首页
伤感说说
动漫配图
心情说说
抖音文案
伤感图片
伤感说说:
伤感的句子说说心情
空间说说
心情说说
爱情说说
女生伤感说说
人生感悟
心情不好的说说
说说带图片
关于生活的说说
说说心情短语
qq空间说说带图片
个性说说
励志名言
一句话经典语录
感悟人生的经典句子
短句吧
情感故事
抖音文案
伤感图片:
伤感图片带字
非主流伤感图片
唯美伤感图片
女生伤感图片
唯美意境图片
悲伤的图片
唯美意境伤感图片
只有字的伤感图片
说说图片
伤心的图片
美甲图片
图片大全
情感图片
微信头像男
动态壁纸
动漫配图
伤感图片
首页
>
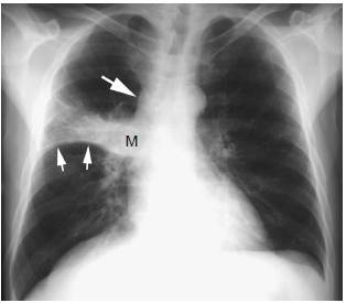
肺不张ct表现图片
肺不张ct表现图片,肺不张ct图片图解
同一患者胸部ct证实为左肺上叶肺不张(黑箭)
3 肺不张的 ct 表现 ct 不仅可以显示胸片所示的肺叶不张,而且可提供
鳞状细胞癌伴支气管阻塞和肺不张
胸部ct复查,肺不张恢复,肺部阴影消退.
(ct诊断:右上叶占位并阻塞性肺不张,现将片子传上请各位斑竹及同仁阅
更多推荐
肺不张ct图片图解
肺不张影像学表现图片
肺不张x线表现图片
肺不张x线图片
肺不张ct经典图片
肺不张胸片表现图片
肺不张ct图片
肺不张ct表现
肺不张胸片表现
肺气肿的ct表现图片
肺结核ct片图片图解
普通肺炎ct表现图片
肺不张x线表现
正常肺ct片图片图解
肺不张图片
肺不张影像图片
肺结核ct图片
肺不张ct
肺气肿的ct图片
肺不张胸片
肺部ct图片
肺结核ct表现
肺气肿ct表现
肺实变ct图片
肺癌ct图片
肝癌ct片图片图解
肺炎ct图片
间质性肺炎ct图片
正常健康肺的ct图片
肺癌ct表现