首页
伤感说说
动漫配图
心情说说
抖音文案
伤感图片
伤感说说:
伤感的句子说说心情
空间说说
心情说说
爱情说说
女生伤感说说
人生感悟
心情不好的说说
说说带图片
关于生活的说说
说说心情短语
qq空间说说带图片
个性说说
励志名言
一句话经典语录
感悟人生的经典句子
短句吧
情感故事
抖音文案
伤感图片:
伤感图片带字
非主流伤感图片
唯美伤感图片
女生伤感图片
唯美意境图片
悲伤的图片
唯美意境伤感图片
只有字的伤感图片
说说图片
伤心的图片
美甲图片
图片大全
情感图片
微信头像男
动态壁纸
动漫配图
伤感图片
首页
>
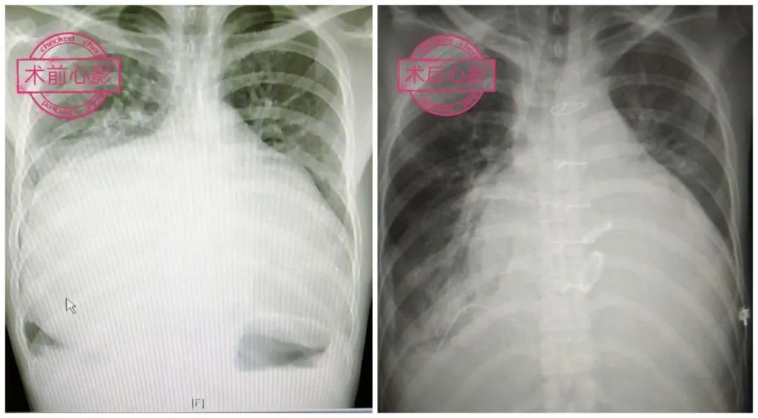
主动脉瓣关闭不全x线
主动脉瓣关闭不全x线,
使心浊音界呈靴型,因其常见于主动脉关闭不全,也可见于主动脉瓣狭窄
症状有一定缓解,但心脏彩超检查提示:二尖瓣重度关闭不全,主动脉瓣
更新 a"主动脉瓣型"心脏 b"中间型"心脏 c"横
合肥京东方医院二尖瓣瓣膜置换主动脉瓣膜置换术
右心室流出道呈管型,肺动脉膜性闭锁(图1,主肺动脉发育正常,肺动脉
更多推荐
马鞍山大青山风景区
黄埔军校校训