首页
伤感说说
动漫配图
心情说说
抖音文案
伤感图片
伤感说说:
伤感的句子说说心情
空间说说
心情说说
爱情说说
女生伤感说说
人生感悟
心情不好的说说
说说带图片
关于生活的说说
说说心情短语
qq空间说说带图片
个性说说
励志名言
一句话经典语录
感悟人生的经典句子
短句吧
情感故事
抖音文案
伤感图片:
伤感图片带字
非主流伤感图片
唯美伤感图片
女生伤感图片
唯美意境图片
悲伤的图片
唯美意境伤感图片
只有字的伤感图片
说说图片
伤心的图片
美甲图片
图片大全
情感图片
微信头像男
动态壁纸
动漫配图
伤感图片
首页
>
肺结核空洞高清图
肺结核空洞高清图,肺结核最新报销政策
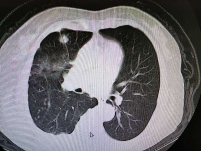
下图是我在肺部影像联盟看到的一个特殊空洞,支气管进入空洞,提示结核
空洞型肺结核治愈好后抽烟会变肺癌吗
小心!这种肺结核有可能会继发慢阻肺!
上图所示,这是一个典型的肺结核的空洞(左图),可见不规则空洞与支
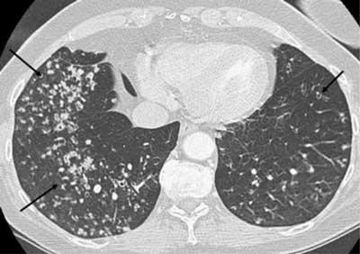
图10 粟粒性结核.65岁女性,患有肺炎,虽然治疗但未改善.
更多推荐
肺结核最新报销政策
正常肺与肺结核图片
肺结核空洞ct图片
肺结核ct片图片图解
空洞型肺结核图片
肺结核图片高清图片
空洞型肺结核
肺结核图片和正常图片
肺结核的肺部真实图片
肺结核手抄报高清
肺结核图片
肺结核手抄报高清图片
肺结核海报图片
肺结核卡通图片
肺结核
肺结核图片简笔画
不正常的肺结核皮试图
如何预防肺结核
预防肺结核
肺结核手抄报高中
肺结核的早期症状
肺结核ct
肺结核病毒
肺结核x光片
肺结核手抄报图片大全
肺结核手抄报漂亮
肺结核手抄报
预防肺结核手抄报
肺结核手抄报简单
肺结核手抄报初一