首页
伤感说说
动漫配图
心情说说
抖音文案
伤感图片
伤感说说:
伤感的句子说说心情
空间说说
心情说说
爱情说说
女生伤感说说
人生感悟
心情不好的说说
说说带图片
关于生活的说说
说说心情短语
qq空间说说带图片
个性说说
励志名言
一句话经典语录
感悟人生的经典句子
短句吧
情感故事
抖音文案
伤感图片:
伤感图片带字
非主流伤感图片
唯美伤感图片
女生伤感图片
唯美意境图片
悲伤的图片
唯美意境伤感图片
只有字的伤感图片
说说图片
伤心的图片
美甲图片
图片大全
情感图片
微信头像男
动态壁纸
动漫配图
伤感图片
首页
>
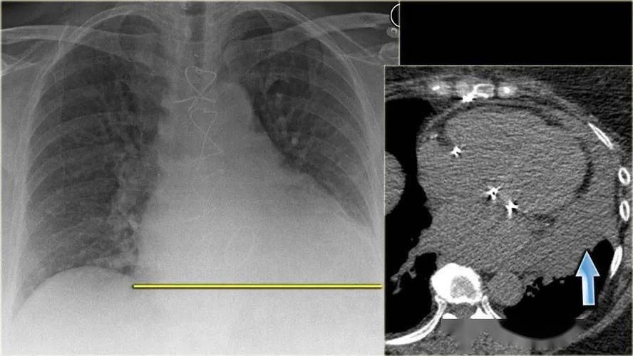
胸片展示胃泡特别大
胸片展示胃泡特别大,胸片胃泡大
胸片心力衰竭
胸片
拍的胸片麻烦看一下胃是不是很大
请大家分析一下左侧胃泡区液平,该片存在哪些问题. 2.
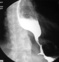
食管贲门失弛缓症
更多推荐
胸片胃泡大
胸片上的正常胃泡图片
胸片胃部胃泡图
胸片胃泡
胸片上的正常胃泡
胃大泡x线胸片图解
正常胸片和异常胸片
胸片胸透
胃泡图片
胃泡
气胸胸片
胸片正常图片
气胸x线胸片图解
胸片怎么看
正常胸片影像图片
正常胸片
胃泡鼓音区示意图
胃泡区在哪里
胸片
胸片图片
正常人胸片
胸片女性
拍胸片照片
拍胸片
肺炎胸片
健康胸片
胸片结节影
胸片卡通
胃泡鼓音区
肺癌胸片