首页
伤感说说
动漫配图
心情说说
抖音文案
伤感图片
伤感说说:
伤感的句子说说心情
空间说说
心情说说
爱情说说
女生伤感说说
人生感悟
心情不好的说说
说说带图片
关于生活的说说
说说心情短语
qq空间说说带图片
个性说说
励志名言
一句话经典语录
感悟人生的经典句子
短句吧
情感故事
抖音文案
伤感图片:
伤感图片带字
非主流伤感图片
唯美伤感图片
女生伤感图片
唯美意境图片
悲伤的图片
唯美意境伤感图片
只有字的伤感图片
说说图片
伤心的图片
美甲图片
图片大全
情感图片
微信头像男
动态壁纸
动漫配图
伤感图片
首页
>
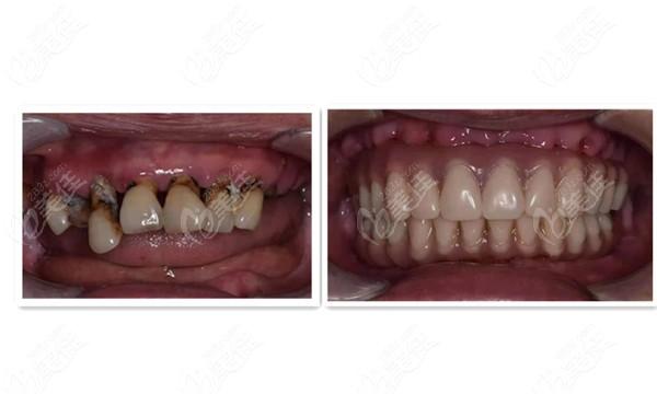
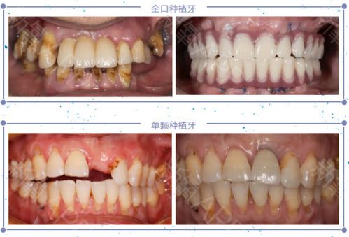
种植牙高清图片
种植牙高清图片,口腔种植牙宣传图片
沈阳欢乐口腔李江明博士全口种植牙技术是真可以,即刻
种植牙看起来也太疼了吧?是你误会了!能种的赶紧种吧
福州口腔医院种植牙费用在此韩国奥齿泰种植牙多少钱一颗嗖的就来了
做种植牙需要具备哪些条件呢?
浅谈:患者常见的种植牙答疑(三)
更多推荐
口腔种植牙宣传图片
上半口种植牙图片大全
种植牙照片高清图
上半口假牙图片大全
种植牙结构图
4颗半口种植牙图片
种植牙搭桥图片
种植牙图片大全图
种植牙效果图片大全
种植牙真人
半口种植牙牙冠图片
种植牙卡通图片
种植导板
种植牙宣传图片大全
种植牙成功图片
种植牙示意图
全口种植牙过程图片
种植牙图片大全
种植牙纯钛桥架
全口种植牙效果图
种植牙图片卡通图片
种植牙图片效果图
种植牙图片
种植牙基台图片
口腔种植牙图片
种植牙图片创意
种植牙图片海报
种植牙后图片真人
种植牙图片价格表
种植牙图解