首页
伤感说说
动漫配图
心情说说
抖音文案
伤感图片
伤感说说:
伤感的句子说说心情
空间说说
心情说说
爱情说说
女生伤感说说
人生感悟
心情不好的说说
说说带图片
关于生活的说说
说说心情短语
qq空间说说带图片
个性说说
励志名言
一句话经典语录
感悟人生的经典句子
短句吧
情感故事
抖音文案
伤感图片:
伤感图片带字
非主流伤感图片
唯美伤感图片
女生伤感图片
唯美意境图片
悲伤的图片
唯美意境伤感图片
只有字的伤感图片
说说图片
伤心的图片
美甲图片
图片大全
情感图片
微信头像男
动态壁纸
动漫配图
伤感图片
首页
>
骨癌溃烂
骨癌溃烂,骨癌晚期
骨癌的早期信号
骨癌早期应怎么防治
骨癌晚期大概能活多久
颈椎骨癌检查方法有哪些
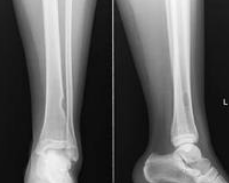
6,皮肤溃烂:骨癌患者患部皮肤可发生溃烂.
更多推荐
骨癌晚期
骨癌症状
骨癌肿块
骨癌骨头
骨癌骨骼
骨癌
骨癌骨头图片
骨癌初期
骨癌片子
骨癌女孩
手指溃烂
骨癌图片
骨癌标本
皮肤溃烂
伤口溃烂
口腔溃烂
骨癌的信号
牙龈溃烂
骨癌晚期图片
脚趾缝痒溃烂
溃烂图片
淋巴癌晚期溃烂图片
骨癌女孩去世
骨癌的前兆是什么症状
皮肤溃烂生蛆
骨癌的早期症状图片
骨癌ct图片
脚趾缝痒溃烂图片
皮肤溃烂图片
睾丸表皮溃烂图