首页
伤感说说
动漫配图
心情说说
抖音文案
伤感图片
伤感说说:
伤感的句子说说心情
空间说说
心情说说
爱情说说
女生伤感说说
人生感悟
心情不好的说说
说说带图片
关于生活的说说
说说心情短语
qq空间说说带图片
个性说说
励志名言
一句话经典语录
感悟人生的经典句子
短句吧
情感故事
抖音文案
伤感图片:
伤感图片带字
非主流伤感图片
唯美伤感图片
女生伤感图片
唯美意境图片
悲伤的图片
唯美意境伤感图片
只有字的伤感图片
说说图片
伤心的图片
美甲图片
图片大全
情感图片
微信头像男
动态壁纸
动漫配图
伤感图片
首页
>
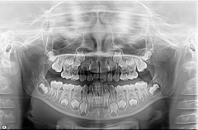
恒牙牙胚
恒牙牙胚,小孩子恒牙胚图片
5岁的小朋友,画圈的是恒牙胚
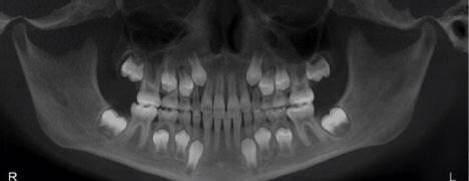
恒牙牙胚埋藏在乳牙根下,尚未发育完全如果确定恒牙近期不会萌出
秒杀| 想要宝贝的恒牙长得好,关键做好这件事!
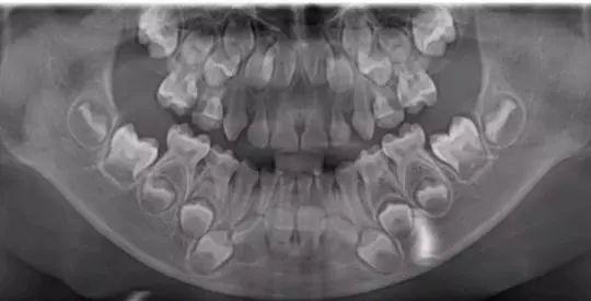
出生时:20颗乳牙的牙冠几乎全部形成并钙化,16颗恒牙牙胚形成恒牙
所以,不光恒牙需要做窝沟封闭,乳磨牙也应该利用它来预防龋齿.
更多推荐
小孩子恒牙胚图片
牙胚图片
正常的恒牙牙胚图片
小孩没牙胚的图片
无牙胚图片
牙胚图片是什么样子的
牙胚
恒牙牙胚图片
恒牙牙齿
恒牙乳牙
恒牙
恒牙列
乳牙牙胚图片
恒牙在哪
恒牙胚图片
智齿牙胚
门牙牙胚的图片
牙胚缺失
恒牙图片
恒牙卡通
恒牙示意图
恒牙是哪几颗
恒牙结构图
乳牙和恒牙的区别图片
乳牙没掉恒牙长出图片
恒牙生长过程
恒牙列图片
恒牙位置图
智齿牙胚图片
恒牙萌出时间