首页
伤感说说
动漫配图
心情说说
抖音文案
伤感图片
伤感说说:
伤感的句子说说心情
空间说说
心情说说
爱情说说
女生伤感说说
人生感悟
心情不好的说说
说说带图片
关于生活的说说
说说心情短语
qq空间说说带图片
个性说说
励志名言
一句话经典语录
感悟人生的经典句子
短句吧
情感故事
抖音文案
伤感图片:
伤感图片带字
非主流伤感图片
唯美伤感图片
女生伤感图片
唯美意境图片
悲伤的图片
唯美意境伤感图片
只有字的伤感图片
说说图片
伤心的图片
美甲图片
图片大全
情感图片
微信头像男
动态壁纸
动漫配图
伤感图片
首页
>
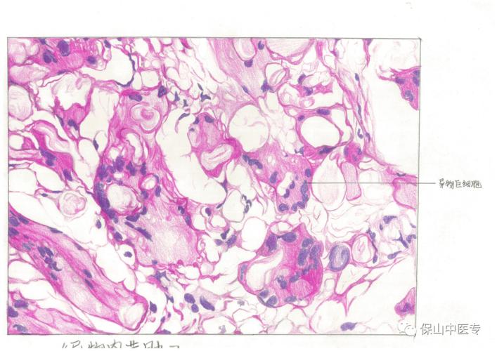
异物肉芽肿手绘图
异物肉芽肿手绘图,异物巨细胞手绘图
六,异物肉芽肿
3.异物肉芽肿
保山中医专学生在全国第一届病理绘图大赛中创佳绩
异物肉芽肿
结核肉芽肿
更多推荐
异物巨细胞手绘图
异物肉芽肿
异物肉芽肿红蓝铅笔
肉芽肿手绘图
异物肉芽肿图片
异物肉芽肿红蓝铅笔图
麦粒肿肉芽肿图片
肉芽肿图片
化脓性肉芽肿图片
眼睛肉芽肿图片
肉芽肿初期图片
皮肤肉芽肿图片
肉芽肿性乳腺炎图片
麦粒肿肉芽肿
肉芽肿手指
肺淤血红蓝铅笔手绘图
肉芽肿的症状
肉芽肿
环状肉芽肿
眼睛肉芽肿
化脓性肉芽肿
化脓性肉芽肿初期
皮肤肉芽肿
肉芽肿初期
手绘图
手绘图样本
气管异物图片
肉芽肿是什么病
华表柱手绘图彩色
室内手绘图