首页
伤感说说
动漫配图
心情说说
抖音文案
伤感图片
伤感说说:
伤感的句子说说心情
空间说说
心情说说
爱情说说
女生伤感说说
人生感悟
心情不好的说说
说说带图片
关于生活的说说
说说心情短语
qq空间说说带图片
个性说说
励志名言
一句话经典语录
感悟人生的经典句子
短句吧
情感故事
抖音文案
伤感图片:
伤感图片带字
非主流伤感图片
唯美伤感图片
女生伤感图片
唯美意境图片
悲伤的图片
唯美意境伤感图片
只有字的伤感图片
说说图片
伤心的图片
美甲图片
图片大全
情感图片
微信头像男
动态壁纸
动漫配图
伤感图片
首页
>
肉芽肿的症状
肉芽肿的症状,乳房肉芽肿的症状
肉芽肿性小叶性乳腺炎进展与思考
性病性淋巴肉芽肿
皮肤 肉芽肿
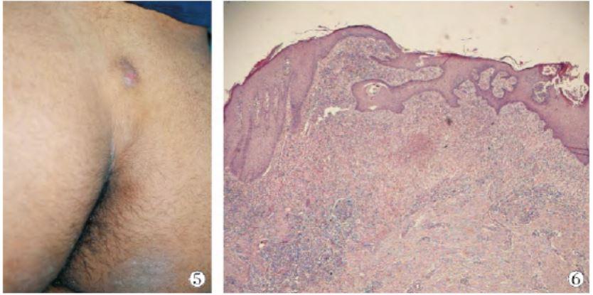
肿物上端可见针眼样皮肤破口; 图 6炎症肉芽肿(he × 200)诊断骶尾部
肉芽肿型血管瘤化脓性肉芽肿临床表现病因以及治疗
更多推荐
乳房肉芽肿的症状
肉芽肿 手指
化脓性肉芽肿自己割了
环状肉芽肿前期图片
肉芽状尖锐性疣图片
肉芽肿是怎么形成的
脐肉芽肿
皮肤肉芽肿图片
皮肤肉芽肿
肉芽肿初期
肉芽肿晚期图片
肉芽肿性乳腺炎图片
肉芽肿是什么病图片
麦粒肿肉芽肿
肉芽肿是什么病
肉芽肿初期图片
环状肉芽肿照片
乳房肉芽肿的症状图片
环状肉芽肿
化脓性肉芽肿图片
儿童环状肉芽肿照片
慢性肉芽肿病图片
肉芽肿
异物肉芽肿
化脓性肉芽肿
眼睛肉芽肿
肉芽肿手指
肉芽肿图片
麦粒肿肉芽肿图片
肉芽肿性乳腺炎