首页
伤感说说
动漫配图
心情说说
抖音文案
伤感图片
伤感说说:
伤感的句子说说心情
空间说说
心情说说
爱情说说
女生伤感说说
人生感悟
心情不好的说说
说说带图片
关于生活的说说
说说心情短语
qq空间说说带图片
个性说说
励志名言
一句话经典语录
感悟人生的经典句子
短句吧
情感故事
抖音文案
伤感图片:
伤感图片带字
非主流伤感图片
唯美伤感图片
女生伤感图片
唯美意境图片
悲伤的图片
唯美意境伤感图片
只有字的伤感图片
说说图片
伤心的图片
美甲图片
图片大全
情感图片
微信头像男
动态壁纸
动漫配图
伤感图片
首页
>
会厌解剖结构CT图片
会厌解剖结构CT图片,会厌解剖结构CT图片
【影像基础】喉部解剖及各型喉癌的ct表现简记
会厌炎影像表现
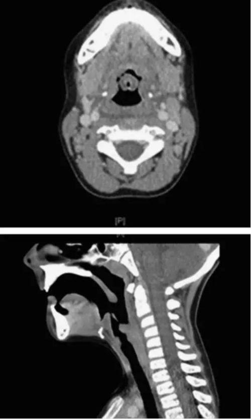
ct示:会厌明显肿胀,增粗,密度减低,咽腔狭窄男,50岁,3天发热,咽痛
ct(轴位结合矢状位)显示会厌和杓会厌皱襞弥漫水肿和软组织肿胀
宝宝咳嗽不一定是感冒肺炎,有一种情况也要注意
更多推荐
会厌解剖结构CT图片
会厌解剖结构图片
颅脑解剖结构和ct解剖
会厌结构图解剖图高清
会厌ct解剖图
会厌解剖图
会厌解剖
人体会厌结构图
会厌解剖位置
颅脑ct解剖图
会厌谷解剖图
颅脑解剖层次结构图
颅脑断层解剖图ct
会厌声门解剖图
会厌谿解剖
颅脑解剖结构
蝶骨解剖结构CT
正常头颅ct解剖图
会厌溪解剖
颅脑ct解剖影像学图谱
头颅ct各部位解剖图
蝶骨ct断层解剖图
头颅ct解剖
正常头颅ct解剖
腹部ct解剖图详细图
会厌位置图片
颅脑解剖图谱
新手看脑部ct片图解
颅脑断层解剖图
蝶骨大翼ct横断面解剖