首页
伤感说说
动漫配图
心情说说
抖音文案
伤感图片
伤感说说:
伤感的句子说说心情
空间说说
心情说说
爱情说说
女生伤感说说
人生感悟
心情不好的说说
说说带图片
关于生活的说说
说说心情短语
qq空间说说带图片
个性说说
励志名言
一句话经典语录
感悟人生的经典句子
短句吧
情感故事
抖音文案
伤感图片:
伤感图片带字
非主流伤感图片
唯美伤感图片
女生伤感图片
唯美意境图片
悲伤的图片
唯美意境伤感图片
只有字的伤感图片
说说图片
伤心的图片
美甲图片
图片大全
情感图片
微信头像男
动态壁纸
动漫配图
伤感图片
首页
>
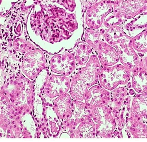
肾细胞水肿切片绘图
肾细胞水肿切片绘图,肾小管水肿红蓝铅笔图
肾近曲小管上皮细胞水肿肾浊肿红蓝铅笔手绘
肾小管上皮细胞水肿生物切片人体病理切片显微镜配套生物切片
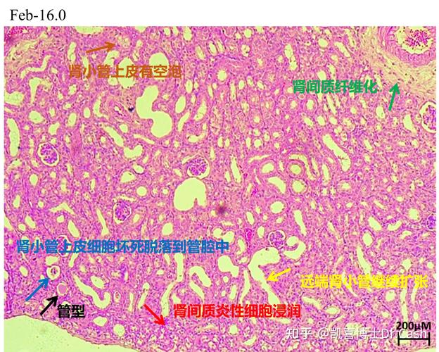
剂量组的肾脏切片中,可以看到的病理特征包括:明显的肾间质炎性细胞
肉芽肿肾水肿红蓝铅笔图
照片名称:肾水肿(1)
更多推荐
肾小管水肿红蓝铅笔图
细胞水肿绘图
肾细胞水肿图片
肾细胞水肿红蓝铅笔图
肾水肿切片图
肾细胞水肿镜下观图片
肾细胞水肿
肾细胞水肿手绘图
肾细胞水肿切片图
细胞水肿手绘图
细胞水肿图片
肾水肿切片红蓝铅笔图
肾细胞水肿红蓝铅笔
动物细胞切片图片
细胞切片图
肾小管上皮细胞水肿图
细胞水肿镜下图
肾细胞水肿实验报告图
肝细胞水肿红蓝铅笔图
细胞切片
淋巴细胞切片图
植物细胞切片图
细胞水肿
细胞切片图生物书
肾水肿红蓝铅笔图
植物细胞切片
细胞坏死图片
肾切片红蓝铅笔图
肝细胞水肿
眼睑水肿图片