首页
伤感说说
动漫配图
心情说说
抖音文案
伤感图片
伤感说说:
伤感的句子说说心情
空间说说
心情说说
爱情说说
女生伤感说说
人生感悟
心情不好的说说
说说带图片
关于生活的说说
说说心情短语
qq空间说说带图片
个性说说
励志名言
一句话经典语录
感悟人生的经典句子
短句吧
情感故事
抖音文案
伤感图片:
伤感图片带字
非主流伤感图片
唯美伤感图片
女生伤感图片
唯美意境图片
悲伤的图片
唯美意境伤感图片
只有字的伤感图片
说说图片
伤心的图片
美甲图片
图片大全
情感图片
微信头像男
动态壁纸
动漫配图
伤感图片
首页
>
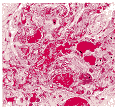
红色血栓镜下图片
红色血栓镜下图片,白色血栓镜下图片
【图】图解血栓的症状 盘点其4大分类
第二次取出来的红色硬化血栓.
图2包囊腔中大量红细胞及不规则小的嗜复红的碎片,袢内血栓形成(pasm
取出来的是红色硬化血栓,为亚急性至慢性的血栓.
血栓
更多推荐
白色血栓镜下图片
透明血栓镜下图片
混合血栓镜下图片
血栓显微镜下图片
白色血栓图片
红色血栓切片
红色血栓手绘图
红色血栓
血栓图片
透明血栓图片
血栓取出图片
混合血栓图片
血栓长什么样图片
血栓图片真实
血栓真实图片
静脉血栓图片
下肢静脉血栓早期图片
血栓外痔疮的图片
血栓痔疮图片
初期血栓腿部图片
腿上有血栓图片
血栓外痔图片
痔疮血栓图片女性
血栓图片手绘
血栓图片卡通
白色血栓
肛门血栓的症状图片
血栓痔疮图片混合痔
血栓痔疮图片外痔
腿部有血栓的症状图片