首页
伤感说说
动漫配图
心情说说
抖音文案
伤感图片
伤感说说:
伤感的句子说说心情
空间说说
心情说说
爱情说说
女生伤感说说
人生感悟
心情不好的说说
说说带图片
关于生活的说说
说说心情短语
qq空间说说带图片
个性说说
励志名言
一句话经典语录
感悟人生的经典句子
短句吧
情感故事
抖音文案
伤感图片:
伤感图片带字
非主流伤感图片
唯美伤感图片
女生伤感图片
唯美意境图片
悲伤的图片
唯美意境伤感图片
只有字的伤感图片
说说图片
伤心的图片
美甲图片
图片大全
情感图片
微信头像男
动态壁纸
动漫配图
伤感图片
首页
>
牙齿不齐矫正
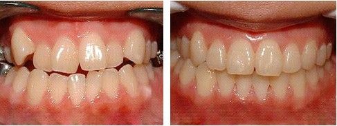
牙齿不齐矫正,牙列不齐矫正
重庆牙齿矫正(正畸)【案例】—牙列不齐 个别牙反颌 面部不对称
重庆牙齿矫正杜沿林上颌前突中线不齐案例
牙齿不齐做隐形矫正治疗效果怎么样
自锁托槽矫正术后64天_金属托槽矫正术后64天_牙齿矫正术后64天_牙齿
郑州牙齿矫正 | 牙齿不齐 没有拔牙 矫正案例
更多推荐
牙列不齐矫正
矫正牙齿
牙齿不齐
牙齿咬合不齐
牙齿矫正器
牙齿中线不齐
牙齿不齐真人
牙齿不齐图片
牙齿不齐卡通
牙齿不齐小朋友
牙齿不齐的明星
牙列不齐
牙列不齐对比
牙齿整齐
牙列不齐儿童
牙齿中线不齐图片
牙列不齐图片
正常牙齿咬合图
牙齿咬合不齐脸型图片
牙齿不齐图片真人
牙齿不齐图片小朋友
牙齿中线不齐脸歪图片
牙齿
牙齿不齐图片大全图
地包天矫正
牙齿前突
咬合不齐
牙齿缺损
牙齿缺失
牙齿贴面