首页
伤感说说
动漫配图
心情说说
抖音文案
伤感图片
伤感说说:
伤感的句子说说心情
空间说说
心情说说
爱情说说
女生伤感说说
人生感悟
心情不好的说说
说说带图片
关于生活的说说
说说心情短语
qq空间说说带图片
个性说说
励志名言
一句话经典语录
感悟人生的经典句子
短句吧
情感故事
抖音文案
伤感图片:
伤感图片带字
非主流伤感图片
唯美伤感图片
女生伤感图片
唯美意境图片
悲伤的图片
唯美意境伤感图片
只有字的伤感图片
说说图片
伤心的图片
美甲图片
图片大全
情感图片
微信头像男
动态壁纸
动漫配图
伤感图片
首页
>
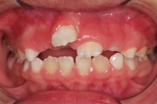
牙齿不齐图片大全图
牙齿不齐图片大全图,牙齿不齐图片
牙齿不齐
矫正牙齿不齐=终生提高颜值,再犹豫就来不及了!
最高补贴10000元!滨州缺牙,牙齿不齐的人赶紧申请!
改变孩子牙齿不齐的"黄金期",爸妈千万别错过!
案例公开!咬合紊乱牙不齐1年半结束
更多推荐
牙齿不齐图片
牙齿不齐图片真人
牙齿中线不齐图片
牙齿不齐图片小朋友
牙列不齐图片
严重牙列不齐图片
牙齿整齐的图片
上下牙齿咬合不齐图片
牙齿不平整图片
牙齿咬合不齐脸型图片
牙齿图片
牙齿中线不齐脸歪图片
牙齿图片结构图
烂牙齿图片
牙齿不齐卡通
牙齿图片可爱
坏牙齿图片
牙齿难看图片
标准牙齿图片
爆牙齿的图片
牙齿不齐
牙齿图片真人
保护牙齿图片
牙齿拥挤图片
牙齿不齐真人
标准的牙齿咬合图片
牙齿错位图片
牙齿不齐矫正
双层牙齿畸形图片
牙齿图片小精灵