首页
伤感说说
动漫配图
心情说说
抖音文案
伤感图片
伤感说说:
伤感的句子说说心情
空间说说
心情说说
爱情说说
女生伤感说说
人生感悟
心情不好的说说
说说带图片
关于生活的说说
说说心情短语
qq空间说说带图片
个性说说
励志名言
一句话经典语录
感悟人生的经典句子
短句吧
情感故事
抖音文案
伤感图片:
伤感图片带字
非主流伤感图片
唯美伤感图片
女生伤感图片
唯美意境图片
悲伤的图片
唯美意境伤感图片
只有字的伤感图片
说说图片
伤心的图片
美甲图片
图片大全
情感图片
微信头像男
动态壁纸
动漫配图
伤感图片
首页
>
牙齿咬合侧面图模型
牙齿咬合侧面图模型,正常咬合牙齿模型图
正常的咬合是什么?图1-2是电脑刻板的标准模型.咬_圈子-新氧美容整形
标准牙模型 标准牙颌演示模型2
牙齿模型
牙齿咬合问题导致脸歪必须进行矫正
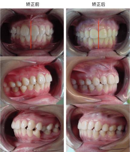
成人拔牙矫正 | 牙齿拥挤,中线偏移,咬合错乱等多种问题
更多推荐
正常咬合牙齿模型图
牙齿咬合侧面图
正常人牙齿咬合侧面图
牙齿咬合模型
标准牙齿咬合图片侧面
牙齿模型侧面
正常牙齿咬合图侧脸
牙齿模型图片结构图
牙齿咬合图
正常牙齿咬合图正确
标准的牙齿咬合图片
标准牙齿的侧面图
整齐的牙齿咬合标准图
标准的上下牙齿咬合图
牙齿模型结构图
牙齿模型图片
牙齿收3mm侧面图
正常的上下牙咬合图
牙齿咬合标准
牙槽骨突出的侧面图
正常人牙齿咬合
牙齿模型
正常牙齿侧面
牙齿模型卡通图片
牙齿图片结构图
标准牙齿模型
牙齿模型图片简笔画
标准牙齿图全图
牙齿结构图
牙齿石膏模型