首页
伤感说说
动漫配图
心情说说
抖音文案
伤感图片
伤感说说:
伤感的句子说说心情
空间说说
心情说说
爱情说说
女生伤感说说
人生感悟
心情不好的说说
说说带图片
关于生活的说说
说说心情短语
qq空间说说带图片
个性说说
励志名言
一句话经典语录
感悟人生的经典句子
短句吧
情感故事
抖音文案
伤感图片:
伤感图片带字
非主流伤感图片
唯美伤感图片
女生伤感图片
唯美意境图片
悲伤的图片
唯美意境伤感图片
只有字的伤感图片
说说图片
伤心的图片
美甲图片
图片大全
情感图片
微信头像男
动态壁纸
动漫配图
伤感图片
首页
>
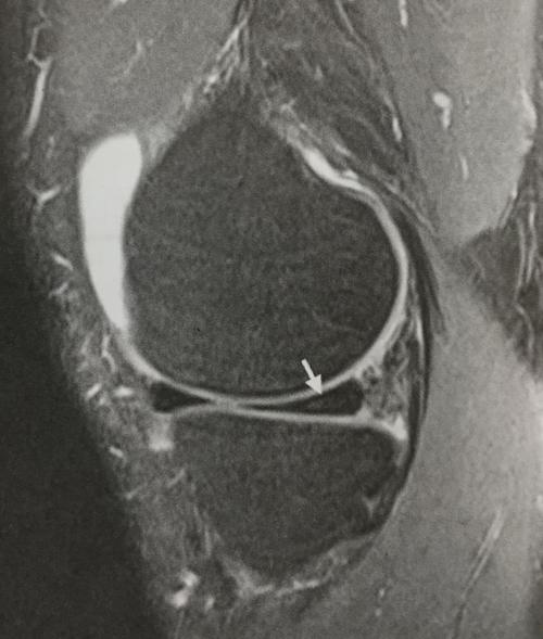
半月板损伤核磁共振图
半月板损伤核磁共振图,半月板损伤静养姿势
浅谈半月板损伤2
为什么我的核磁共振看不出来半月板撕裂几级_中医_半月板撕裂_医疗
最近关节肿胀频繁发作终于听劝做了磁共振,显示内侧半月板后角损伤
磁共振矢状面显示:内侧半月板前角撕裂.
膝关节的核磁片子,半月板有损伤,自己也看不太懂,帮我
更多推荐
半月板损伤静养姿势
半月板损伤能自愈吗
半月板正常核磁图
半月板损伤磁共振图解
半月板核磁共振图解析
半月板磁共振图解
正常半月板磁共振图解
正常半月板核磁图片
半月板损伤图片图解
半月板3度撕裂共振图
半月板损伤图片
半月板损伤的症状图片
半月板损伤自测图
半月板损伤片子
膝关节半月板损伤图
半月板损伤康复训练图
半月板损伤
半月板损伤如何恢复
半月板后角损伤
半月板损伤的症状
半月板损伤专用护膝
半月板损伤睡觉姿势
半月板损伤治疗
膝盖半月板损伤
半月板损伤的最好治疗
半月板损伤用药
半月板损伤诊断书
半月板手术后锻炼图
核磁共振脚踝
核磁共振图片