首页
伤感说说
动漫配图
心情说说
抖音文案
伤感图片
伤感说说:
伤感的句子说说心情
空间说说
心情说说
爱情说说
女生伤感说说
人生感悟
心情不好的说说
说说带图片
关于生活的说说
说说心情短语
qq空间说说带图片
个性说说
励志名言
一句话经典语录
感悟人生的经典句子
短句吧
情感故事
抖音文案
伤感图片:
伤感图片带字
非主流伤感图片
唯美伤感图片
女生伤感图片
唯美意境图片
悲伤的图片
唯美意境伤感图片
只有字的伤感图片
说说图片
伤心的图片
美甲图片
图片大全
情感图片
微信头像男
动态壁纸
动漫配图
伤感图片
首页
>
大脑ct图片讲解
大脑ct图片讲解,脑ct图片讲解片子
头颅ct影像解剖
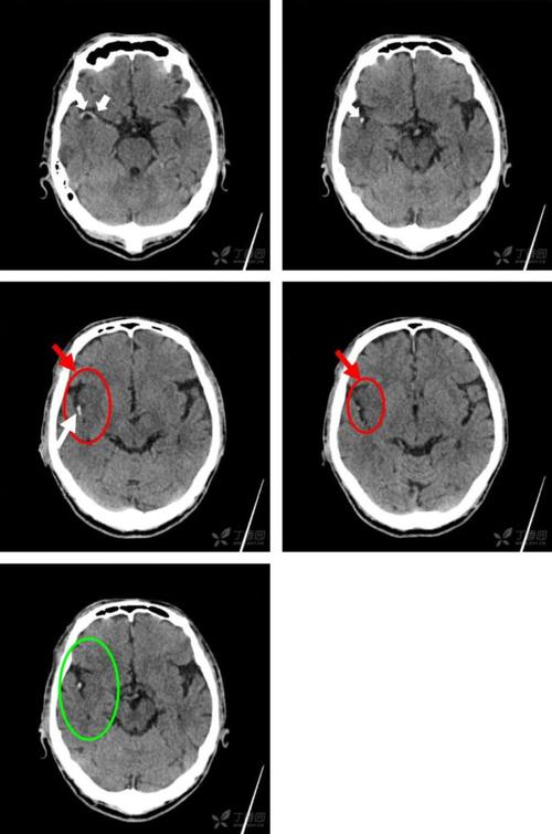
6 个病例学会"脑梗死"的 4大ct 征象
高清mri图颅脑磁共振mri解剖
脑ct片子求解?
影像总结:头颅ct基本知识与常见病变
更多推荐
脑ct图片讲解片子
脑ct图片讲解
脑ct图片讲解正常
大脑ct解剖结构图讲解
脑震荡脑ct片子图片
脑ct图片讲解诊断
颅脑ct解剖图片
大脑解剖结构图讲解
腰椎ct片图片讲解
正常肺ct片图片图解
正常大脑ct图
脑梗塞ct图片解说图
正常脑ct图片大全
正常的脑ct片子图片
颈椎ct图片图解
正常脑ct图片
大脑图片结构图
脑ct报告单图片
大脑图片
新手看脑部ct片图解
颈椎病ct图片讲解
ct图片胸片
ct片子图片
大脑的解剖图
大脑解剖图
颈椎ct讲解图
ct图片
新手看头颅ct片图解
大脑ct平扫结构示意图
ct图片全身