首页
伤感说说
动漫配图
心情说说
抖音文案
伤感图片
伤感说说:
伤感的句子说说心情
空间说说
心情说说
爱情说说
女生伤感说说
人生感悟
心情不好的说说
说说带图片
关于生活的说说
说说心情短语
qq空间说说带图片
个性说说
励志名言
一句话经典语录
感悟人生的经典句子
短句吧
情感故事
抖音文案
伤感图片:
伤感图片带字
非主流伤感图片
唯美伤感图片
女生伤感图片
唯美意境图片
悲伤的图片
唯美意境伤感图片
只有字的伤感图片
说说图片
伤心的图片
美甲图片
图片大全
情感图片
微信头像男
动态壁纸
动漫配图
伤感图片
首页
>
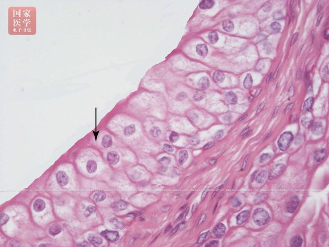
复层柱状上皮
复层柱状上皮,复层柱状上皮图片
复层柱状上皮stratified columnar epithelium:数层细胞,浅层细胞呈
6.复层柱状细胞(stratifiedcolumnarepithelium)
复层柱状上皮 复层柱状上皮(stratified columnar epithelium)的
复层柱状上皮stratified columnar epithelium:柱状(排列整齐) 多边形
单层柱状上皮结构红蓝铅笔手绘图
更多推荐
复层柱状上皮图片
角化的复层扁平上皮
柱状上皮
腺上皮
复层鳞状上皮
单层柱状上皮细胞绘图
间皮
复层扁平上皮图片
复层扁平上皮光镜图
假复层柱状上皮手绘图
复层扁平上皮细胞
复层扁平上皮细胞绘图
单层柱状上皮手绘图
角化复层扁平上皮图片
内皮
单层柱状上皮模式图
复层柱状上皮光镜图
复层柱状上皮 手绘图
复层上皮
复层立方上皮图片
复层扁平上皮手绘图
复层扁平上皮
假复层纤毛柱状上皮
单层柱状上皮
单层立方上皮
单层扁平上皮
假复层柱状上皮
复层柱状上皮模式图
复层立方上皮
单层柱状上皮图片