首页
伤感说说
动漫配图
心情说说
抖音文案
伤感图片
伤感说说:
伤感的句子说说心情
空间说说
心情说说
爱情说说
女生伤感说说
人生感悟
心情不好的说说
说说带图片
关于生活的说说
说说心情短语
qq空间说说带图片
个性说说
励志名言
一句话经典语录
感悟人生的经典句子
短句吧
情感故事
抖音文案
伤感图片:
伤感图片带字
非主流伤感图片
唯美伤感图片
女生伤感图片
唯美意境图片
悲伤的图片
唯美意境伤感图片
只有字的伤感图片
说说图片
伤心的图片
美甲图片
图片大全
情感图片
微信头像男
动态壁纸
动漫配图
伤感图片
首页
>
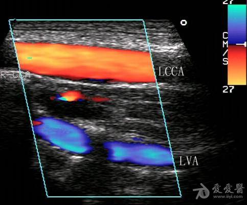
锁骨下动脉超声切面
锁骨下动脉超声切面,左锁骨下动脉超声图像
该检查为血管超声检查,根据体表大动脉内动脉硬化程度,评估罹患冠状
锁骨下动脉窃血综合征超声诊断图解
唐县中医医院一台介入手术成功同步解决七旬老人冠脉狭窄,颈动脉狭窄
锁骨下动脉窃血综合征——zengerya - 超声医学讨论版
锁骨下动脉彩超结果
更多推荐
左锁骨下动脉超声图像
左锁骨下动脉
锁骨下动脉盗血超声ppt
左锁骨下动脉解剖图
右锁骨下动脉迷走
超声怎样打锁骨下动脉
锁骨下动脉超声图片
右锁骨下动脉超声图片
锁骨下动脉
锁骨下动脉解剖
锁骨下动脉分支
锁骨下动脉解剖图
左锁骨下动脉迷走
锁骨下动脉图
左锁骨下动脉迷走解剖
锁骨下动脉位置图片
锁骨下动脉盗血图解
左锁骨下迷走超声图片
锁骨下动脉图片
迷走锁骨下动脉示意图
锁骨下动脉盗血
锁骨上动脉
左锁骨下动脉迷走百科
锁骨下动脉分支解剖图
右锁骨下动脉迷走图片
左锁骨下动脉迷走图片
锁骨上动脉解剖图
锁骨下动脉盗血综合征
锁骨下静脉穿刺解剖图
锁骨下静脉分支解剖图