首页
伤感说说
动漫配图
心情说说
抖音文案
伤感图片
伤感说说:
伤感的句子说说心情
空间说说
心情说说
爱情说说
女生伤感说说
人生感悟
心情不好的说说
说说带图片
关于生活的说说
说说心情短语
qq空间说说带图片
个性说说
励志名言
一句话经典语录
感悟人生的经典句子
短句吧
情感故事
抖音文案
伤感图片:
伤感图片带字
非主流伤感图片
唯美伤感图片
女生伤感图片
唯美意境图片
悲伤的图片
唯美意境伤感图片
只有字的伤感图片
说说图片
伤心的图片
美甲图片
图片大全
情感图片
微信头像男
动态壁纸
动漫配图
伤感图片
首页
>
肺部肿瘤常见
肺部肿瘤常见,肺部肿瘤
术中切除的肺部肿瘤
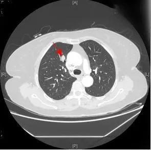
ct显示右肺肿瘤
肺肿瘤
跪求 阅片,看看这是肺部肿瘤吗?
请问下关于肺部肿瘤
更多推荐
肺部肿瘤
肺部肿瘤恶性
肺部良性肿瘤
肺部肿瘤ct
肺部肿瘤图片
肺部肿瘤胸片
肺部肿瘤早期症状
皮肤肿瘤常见
肺部肿瘤能治好吗
肺部肿瘤图片恶性
肺部肿瘤x光图片
肺部恶性肿瘤ct图片
肺部肿瘤形状图片大全
正常肺部胸片
腹部肿瘤
常见体表肿瘤图片
肺部肿瘤ct怎么看图解
肺部结节
肺部
肺部肿瘤ct图片显示图
肺部肿瘤图片ct光片
肿瘤
恶性肿瘤外观
脚踝处常见的肿瘤
良性肿瘤
胰腺肿瘤
肺部阴影
直肠肿瘤
鼻部肿瘤
胃肿瘤