首页
伤感说说
动漫配图
心情说说
抖音文案
伤感图片
伤感说说:
伤感的句子说说心情
空间说说
心情说说
爱情说说
女生伤感说说
人生感悟
心情不好的说说
说说带图片
关于生活的说说
说说心情短语
qq空间说说带图片
个性说说
励志名言
一句话经典语录
感悟人生的经典句子
短句吧
情感故事
抖音文案
伤感图片:
伤感图片带字
非主流伤感图片
唯美伤感图片
女生伤感图片
唯美意境图片
悲伤的图片
唯美意境伤感图片
只有字的伤感图片
说说图片
伤心的图片
美甲图片
图片大全
情感图片
微信头像男
动态壁纸
动漫配图
伤感图片
首页
>
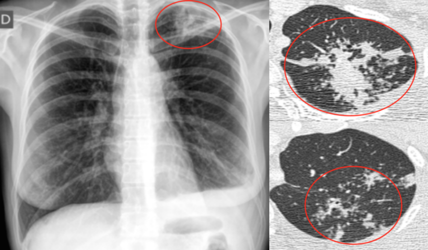
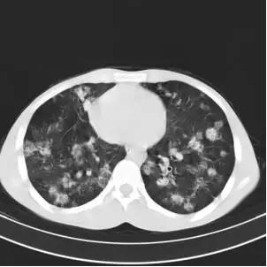
肺结核ct影像表现图解
肺结核ct影像表现图解,正常肺与肺结核ct图片
肺结核影像学ct精华版
陈起航教授:肺结核的影像学评价——遏制,终止,终结肺
十二个病人的肺ct图像详细解读!_结核
十二个病人的肺ct图像详细解读_结核
各型肺结核的典型影像表现
更多推荐
正常肺与肺结核ct图片
肺结核图片高清图片
CT肺结核图片
肺结核ct报告
肺结核长什么样图片
肺结核真实图片
肺结核CT
肺结核ct报告单图片
肺结节图片高清图片
肺结核ct诊断报告图片
肺结核ct影像图片
正常肺部ct高清图
肺结核ct影像
肺结核医院开的证明图
正常肺与肺结核图片
肺结核片子图片怎么看
肺结核ct片图片图解
肺结核ct表现
肺结核ct影像表现特点
结核ct影像表现图片
肺癌ct影像表现特点
肝硬化ct影像表现图片
ct肺结核图片
肺结核的ct图片
肺结核ct片子图片特点
正常的肺部ct影像图片
脑出血ct影像表现图片
肺部ct怎么看图解解读
肺结核ct
膈疝ct表现影像图