首页
伤感说说
动漫配图
心情说说
抖音文案
伤感图片
伤感说说:
伤感的句子说说心情
空间说说
心情说说
爱情说说
女生伤感说说
人生感悟
心情不好的说说
说说带图片
关于生活的说说
说说心情短语
qq空间说说带图片
个性说说
励志名言
一句话经典语录
感悟人生的经典句子
短句吧
情感故事
抖音文案
伤感图片:
伤感图片带字
非主流伤感图片
唯美伤感图片
女生伤感图片
唯美意境图片
悲伤的图片
唯美意境伤感图片
只有字的伤感图片
说说图片
伤心的图片
美甲图片
图片大全
情感图片
微信头像男
动态壁纸
动漫配图
伤感图片
首页
>
微血栓
微血栓,血栓
微血栓形成的表现微血栓形成怎么诊断
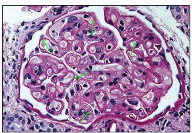
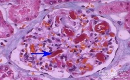
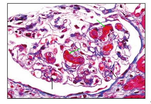
肾内病理图解:血栓性微血管病
4.微血栓,主要存在于前毛细血管,小动脉,小静脉内,只可见于显微镜下.
肾内病理图解:血栓性微血管病
肾内病理图解:血栓性微血管病
更多推荐
血栓
脚血栓
脑血栓
血栓形成
静脉血栓
血栓真实
混合血栓
白色血栓
红色血栓
血栓切片
大腿血栓
血栓痔疮
血栓图片
血栓外痔
深静脉血栓
血栓卡通
下肢静脉血栓
血栓弹力图
血栓手绘
血栓取出图片
血栓痔疮图片
血栓真实图片
初期血栓腿部图片
血栓弹力图临床意义