首页
伤感说说
动漫配图
心情说说
抖音文案
伤感图片
伤感说说:
伤感的句子说说心情
空间说说
心情说说
爱情说说
女生伤感说说
人生感悟
心情不好的说说
说说带图片
关于生活的说说
说说心情短语
qq空间说说带图片
个性说说
励志名言
一句话经典语录
感悟人生的经典句子
短句吧
情感故事
抖音文案
伤感图片:
伤感图片带字
非主流伤感图片
唯美伤感图片
女生伤感图片
唯美意境图片
悲伤的图片
唯美意境伤感图片
只有字的伤感图片
说说图片
伤心的图片
美甲图片
图片大全
情感图片
微信头像男
动态壁纸
动漫配图
伤感图片
首页
>
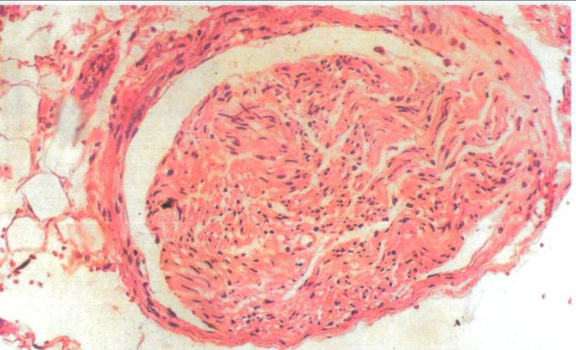
白色血栓镜下图
白色血栓镜下图,白色血栓和红色血栓
高等教育 医学 病理切片(复习26张)答案ppt 淡红色: 白色血栓,血小板
白色血栓混合血栓 红色血栓 肝血栓 10x
(图) 血栓机化
白色血栓
透明血栓
更多推荐
白色血栓和红色血栓
白色血栓镜下图片
红色血栓镜下图片
白色血栓图片
白色血栓
透明血栓镜下图片
白色血栓切片
混合血栓镜下图片
白色血栓手绘图
红色血栓图片
红色血栓
血栓栓塞
下肢静脉血栓
血栓取出图片
透明血栓图片
混合血栓图片
血栓图片
血栓真实图片
血栓弹力图
透明血栓
血栓形成
血栓
血栓的类型
血栓痔疮图片
血栓真实
血栓切片
血栓形成的过程
混合血栓
血栓的结局
微血栓